EpCAM抗体 [GT3188]

目录号 GTX635970
目录号  GTX635970
Anti-EpCAM antibody [GT3188] used in Immunocytochemistry/ Immunofluorescence (ICC/IF). GTX635970
GTX635970 ICC/IF Image

EpCAM antibody [GT3188] detects EpCAM protein at cell membrane by immunofluorescent analysis.
Sample: HCT116 and HeLa cells were fixed in ice-cold MeOH for 5 min.
Green: EpCAM stained by EpCAM antibody [GT3188] (GTX635970) diluted at 1:500.

1 / 4
Anti-EpCAM antibody [GT3188] used in Flow cytometry (FCM). GTX635970
GTX635970 FCM Image

EpCAM antibody[GT3188] (GTX635970) detects EpCAM by flow cytometry analysis.
Sample: HeLa and HCT-116
Blue: Mouse IgG isotype control.
Red: EpCAM antibody[GT3188] (GTX635970) dilution: 1:50.
Acquisition of 20,000 events were collected for FACS analysis.

2 / 4
Anti-EpCAM antibody [GT3188] used in Western Blot (WB). GTX635970
GTX635970 WB Image

Various whole cell extracts (30 μg) were separated by 10% SDS-PAGE, and the membrane was blotted with EpCAM antibody[GT3188] (GTX635970) diluted at 1:1000. The HRP-conjugated anti-mouse IgG antibody (GTX213111-01) was used to detect the primary antibody.

3 / 4
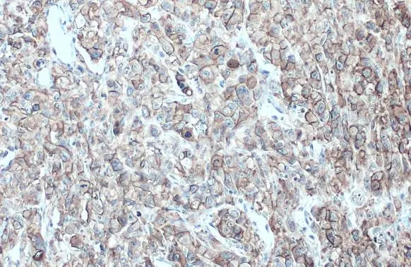
Anti-EpCAM antibody [GT3188] used in IHC (Paraffin sections) (IHC-P). GTX635970
GTX635970 IHC-P Image

EpCAM antibody [GT3188] detects EpCAM protein at cell membrane by immunohistochemical analysis.
Sample: Paraffin-embedded MDA-MB-231 xenograft.
EpCAM stained by EpCAM antibody [GT3188] (GTX635970) diluted at 1:200.
Antigen Retrieval: Citrate buffer, pH 6.0, 15 min

4 / 4
Anti-EpCAM antibody [GT3188] used in Immunocytochemistry/ Immunofluorescence (ICC/IF). GTX635970
Anti-EpCAM antibody [GT3188] used in Flow cytometry (FCM). GTX635970
Anti-EpCAM antibody [GT3188] used in Western Blot (WB). GTX635970
Anti-EpCAM antibody [GT3188] used in IHC (Paraffin sections) (IHC-P). GTX635970
  • 宿主
    Mouse
  • 克隆
    Monoclonal
  • 克隆编号
    GT3188
  • 同种型
    IgG2a
  • 实验应用
    WB ICC/IF IHC-P FCM
  • 种属反应
    Human
查看所有 EpCAM 的产品