Exportin 5抗体

目录号 GTX32594
目录号  GTX32594
Anti-Exportin 5 antibody used in Immunoprecipitation (IP). GTX32594
GTX32594 IP Image

IP analysis of HeLa cell lysate using GTX32594 Exportin 5 antibody.
Antibody amount : 1μg / 200μg lysate
Dilution : 1:1000

1 / 5
Anti-Exportin 5 antibody used in Immunocytochemistry/ Immunofluorescence (ICC/IF). GTX32594
GTX32594 ICC/IF Image

ICC/IF analysis of MCF7 cells using GTX32594 Exportin 5 antibody.

2 / 5
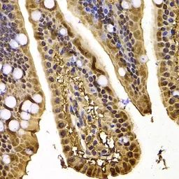
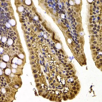
Anti-Exportin 5 antibody used in IHC (Paraffin sections) (IHC-P). GTX32594
GTX32594 IHC-P Image

IHC-P analysis of mouse jejunum tissue using GTX32594 Exportin 5 antibody.
Dilution : 1:100

3 / 5
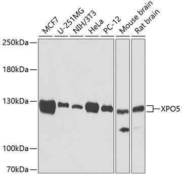
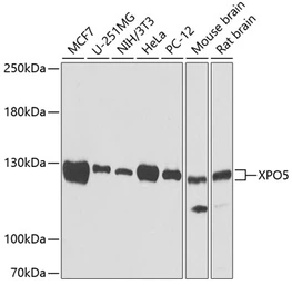
Anti-Exportin 5 antibody used in Western Blot (WB). GTX32594
GTX32594 WB Image

WB analysis of various sample lysates using GTX32594 Exportin 5 antibody.
Loading : 25μg per lane

4 / 5
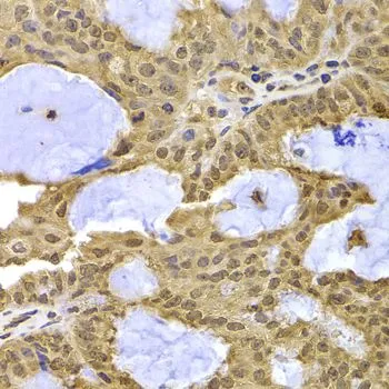
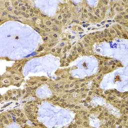
Anti-Exportin 5 antibody used in IHC (Paraffin sections) (IHC-P). GTX32594
GTX32594 IHC-P Image

IHC-P analysis of human oophoroma tissue using GTX32594 Exportin 5 antibody.
Dilution : 1:100

5 / 5
Anti-Exportin 5 antibody used in Immunoprecipitation (IP). GTX32594
Anti-Exportin 5 antibody used in Immunocytochemistry/ Immunofluorescence (ICC/IF). GTX32594
Anti-Exportin 5 antibody used in IHC (Paraffin sections) (IHC-P). GTX32594
Anti-Exportin 5 antibody used in Western Blot (WB). GTX32594
Anti-Exportin 5 antibody used in IHC (Paraffin sections) (IHC-P). GTX32594
  • 宿主
    Rabbit
  • 克隆
    Polyclonal
  • 同种型
    IgG
  • 实验应用
    WB ICC/IF IHC-P IP
  • 种属反应
    Human, Mouse, Rat
查看所有 Exportin 5 的产品