FGFR1 (phospho Tyr766)抗体

目录号 GTX32182
目录号  GTX32182
Anti-FGFR1 (phospho Tyr766) antibody used in Western Blot (WB). GTX32182
GTX32182 WB Image

WB analysis of EGF-treated HepG2 (A), EGF-treated SP2/0 (B), EGF-treated PC12 (C) whole cell lysates using GTX32182 FGFR1 (phospho Tyr766) antibody.

1 / 2
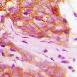
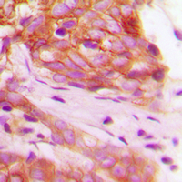
Anti-FGFR1 (phospho Tyr766) antibody used in IHC (Paraffin sections) (IHC-P). GTX32182
GTX32182 IHC-P Image

IHC-P analysis of formalin fixed human breast cancer tissue section using GTX32182 FGFR1 (phospho Tyr766) antibody.
Antigen retrieval : Heat mediated antigen retrieval with sodium citrate buffer (pH 6.0)

2 / 2
Anti-FGFR1 (phospho Tyr766) antibody used in Western Blot (WB). GTX32182
Anti-FGFR1 (phospho Tyr766) antibody used in IHC (Paraffin sections) (IHC-P). GTX32182
  • 宿主
    Rabbit
  • 克隆
    Polyclonal
  • 同种型
    IgG
  • 实验应用
    WB IHC-P
  • 种属反应
    Human, Mouse, Rat
查看所有 FGFR1 的产品