FLI1抗体

目录号 GTX112937
目录号  GTX112937
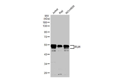
Anti-FLI1 antibody used in Western Blot (WB). GTX112937
GTX112937 WB Image

Various whole cell extracts (30 μg) were separated by 10% SDS-PAGE, and the membrane was blotted with FLI1 antibody (GTX112937) diluted at 1:1000. The HRP-conjugated anti-rabbit IgG antibody (GTX213110-01) was used to detect the primary antibody.

1 / 5
Anti-FLI1 antibody used in Western Blot (WB). GTX112937
GTX112937 WB Image

FLI1 antibody detects FLI1 protein by western blot analysis.
A. 50 μg rat kidney lysate/extract
10% SDS-PAGE
FLI1 antibody (GTX112937) dilution: 1:1000
The HRP-conjugated anti-rabbit IgG antibody (GTX213110-01) was used to detect the primary antibody.

2 / 5
Anti-FLI1 antibody used in Immunoprecipitation (IP). GTX112937
GTX112937 IP Image

FLI1 antibody immunoprecipitates FLI1 protein in IP experiments.
IP samples: Raji whole cell extract
A. 40 μg Raji whole cell extract
B. Control with 4 μg of preimmune Rabbit IgG
C. Immunoprecipitation of FLI1 protein by 4 μg FLI1 antibody (GTX112937)
10 % SDS-PAGE
The immunoprecipitated FLI1 protein was detected by FLI1 antibody (GTX112937) diluted at 1:500.
[EasyBlot anti-rabbit IgG (GTX221666-01) was used as a secondary reagent]

3 / 5
Anti-FLI1 antibody used in Immunocytochemistry/ Immunofluorescence (ICC/IF). GTX112937
GTX112937 ICC/IF Image

FLI1 antibody detects FLI1 protein at nucleus by immunofluorescent analysis.
Sample: HeLa cells were fixed in 4% paraformaldehyde at RT for 15 min.
Green: FLI1 protein stained by FLI1 antibody (GTX112937) diluted at 1:500.
Blue: Hoechst 33343 staining.

4 / 5
Anti-FLI1 antibody used in IHC (Paraffin sections) (IHC-P). GTX112937
GTX112937 IHC-P Image

Immunohistochemical analysis of paraffin-embedded SkHep1 xenograft, using FLI1(GTX112937) antibody at 1:500 dilution.
Antigen Retrieval: Trilogy™ (EDTA based, pH 8.0) buffer, 15min

5 / 5
Anti-FLI1 antibody used in Western Blot (WB). GTX112937
Anti-FLI1 antibody used in Western Blot (WB). GTX112937
Anti-FLI1 antibody used in Immunoprecipitation (IP). GTX112937
Anti-FLI1 antibody used in Immunocytochemistry/ Immunofluorescence (ICC/IF). GTX112937
Anti-FLI1 antibody used in IHC (Paraffin sections) (IHC-P). GTX112937
  • 宿主
    Rabbit
  • 克隆
    Polyclonal
  • 同种型
    IgG
  • 实验应用
    WB ICC/IF IHC-P IP
  • 种属反应
    Human, Rat
查看所有 FLI1 的产品