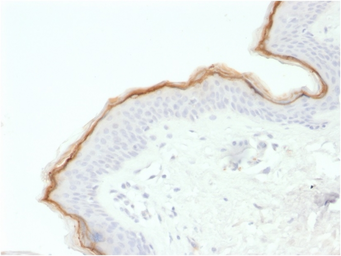
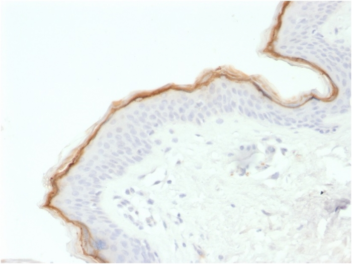
Filaggrin抗体 [FLG/1563]
目录号 GTX17962
目录号 GTX17962
-
宿主Mouse
-
克隆Monoclonal
-
克隆编号FLG/1563
-
同种型IgG2b
-
实验应用IHC-P Protein Array
-
种属反应Human