Filaggrin抗体 [SPM181]

目录号 GTX34732
目录号  GTX34732
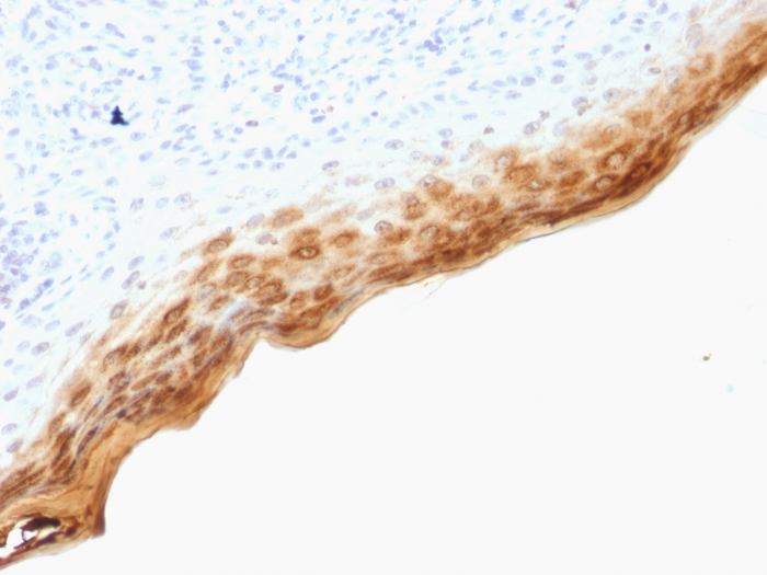
Anti-Filaggrin antibody [SPM181] used in IHC (Paraffin sections) (IHC-P). GTX34732
GTX34732 IHC-P Image

IHC-P analysis of human skin tissue using GTX34732 Filaggrin antibody [SPM181].

1 / 1
Anti-Filaggrin antibody [SPM181] used in IHC (Paraffin sections) (IHC-P). GTX34732
  • 宿主
    Mouse
  • 克隆
    Monoclonal
  • 克隆编号
    SPM181
  • 同种型
    IgG1
  • 实验应用
    IHC-P
  • 种属反应
    Human
查看所有 Filaggrin 的产品