Filamin A (phospho Ser2152)抗体

目录号 GTX32328
目录号  GTX32328
Anti-Filamin A (phospho Ser2152) antibody used in Western Blot (WB). GTX32328
GTX32328 WB Image

WB analysis of calyculin A-treated HeLa (A), EGF-treated A431 (B) whole cell lysates using GTX32328 Filamin A (phospho Ser2152) antibody.

1 / 2
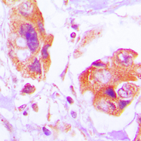
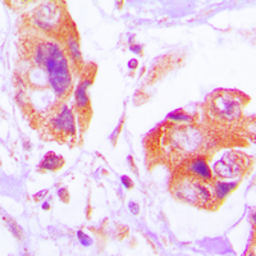
Anti-Filamin A (phospho Ser2152) antibody used in IHC (Paraffin sections) (IHC-P). GTX32328
GTX32328 IHC-P Image

IHC-P analysis of formalin fixed human lung cancer tissue section using GTX32328 Filamin A (phospho Ser2152) antibody.
Antigen retrieval : Heat mediated antigen retrieval with sodium citrate buffer (pH 6.0)

2 / 2
Anti-Filamin A (phospho Ser2152) antibody used in Western Blot (WB). GTX32328
Anti-Filamin A (phospho Ser2152) antibody used in IHC (Paraffin sections) (IHC-P). GTX32328
  • 宿主
    Rabbit
  • 克隆
    Polyclonal
  • 同种型
    IgG
  • 实验应用
    WB IHC-P
  • 种属反应
    Human
查看所有 Filamin A 的产品