Folate Receptor alpha抗体 [BN3.2]

目录号 GTX01976
目录号  GTX01976
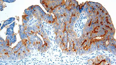
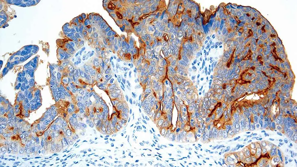
Anti-Folate Receptor alpha antibody [BN3.2] used in IHC (Paraffin sections) (IHC-P). GTX01976
GTX01976 IHC-P Image

IHC-P analysis of ovarian tumor tissue using GTX01976 Folate Receptor alpha antibody [BN3.2]. Note intense cytoplasmic staining.

1 / 1
Anti-Folate Receptor alpha antibody [BN3.2] used in IHC (Paraffin sections) (IHC-P). GTX01976
  • 宿主
    Mouse
  • 克隆
    Monoclonal
  • 克隆编号
    BN3.2
  • 同种型
    IgG1
  • 实验应用
    IHC-P
  • 种属反应
    Human
查看所有 Folate Receptor alpha 的产品