Folate Receptor beta抗体

目录号 GTX105822
目录号  GTX105822
Anti-Folate Receptor beta antibody used in Western Blot (WB). GTX105822
GTX105822 WB Image

Human synovial fluid (15 μg) was separated by 12% SDS-PAGE, and the membrane was blotted with Folate Receptor beta antibody (GTX105822) diluted at 1:1000. The HRP-conjugated anti-rabbit IgG antibody (GTX213110-01) was used to detect the primary antibody, and the signal was developed with Trident ECL plus-Enhanced.

1 / 3
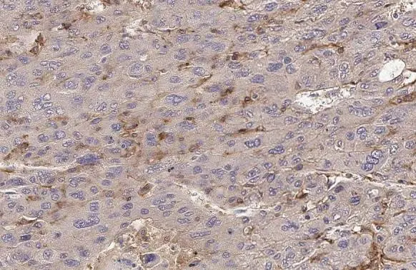
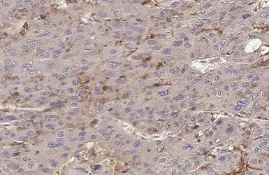
Anti-Folate Receptor beta antibody used in IHC (Paraffin sections) (IHC-P). GTX105822
GTX105822 IHC-P Image

Folate Receptor beta antibody detects Folate Receptor beta protein at cell membrane and secreted by immunohistochemical analysis.
Sample: Paraffin-embedded human hepatocellular carcinoma.
Folate Receptor beta stained by Folate Receptor beta antibody (GTX105822) diluted at 1:500.
Antigen Retrieval: Citrate buffer, pH 6.0, 15 min

2 / 3
Anti-Folate Receptor beta antibody used in Immunocytochemistry/ Immunofluorescence (ICC/IF). GTX105822
GTX105822 ICC/IF Image

Folate Receptor beta antibody detects Folate Receptor beta protein at endoplasmic reticulum by immunofluorescent analysis.
Sample: HeLa cells were fixed in 4% paraformaldehyde at RT for 15 min.
Green: Folate Receptor beta stained by Folate Receptor beta antibody (GTX105822) diluted at 1:500.
Red: alpha Tubulin, a cytoskeleton marker, stained by alpha Tubulin antibody [GT114] (GTX628802) diluted at 1:1000.
Blue: Fluoroshield with DAPI (GTX30920).
Scale bar= 10μm.

3 / 3
Anti-Folate Receptor beta antibody used in Western Blot (WB). GTX105822
Anti-Folate Receptor beta antibody used in IHC (Paraffin sections) (IHC-P). GTX105822
Anti-Folate Receptor beta antibody used in Immunocytochemistry/ Immunofluorescence (ICC/IF). GTX105822
  • 宿主
    Rabbit
  • 克隆
    Polyclonal
  • 同种型
    IgG
  • 实验应用
    WB ICC/IF IHC-P
  • 种属反应
    Human, Mouse, Chinese Hamster
查看所有 Folate Receptor beta 的产品