G3BP1 (phospho Ser232)抗体

目录号 GTX50149
目录号  GTX50149
Anti-G3BP1 (phospho Ser232) antibody used in Immunocytochemistry/ Immunofluorescence (ICC/IF). GTX50149
GTX50149 ICC/IF Image

ICC/IF analysis of methanol-fixed HeLa cells using GTX50149 G3BP1 (phospho Ser232) antibody.

1 / 3
Anti-G3BP1 (phospho Ser232) antibody used in Western Blot (WB). GTX50149
GTX50149 WB Image

WB analysis of extracts from 293 cells untreated or treated with starvation using GTX50149 G3BP1 (phospho Ser232) antibody.

2 / 3
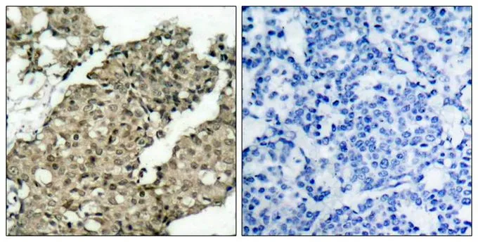
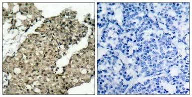
Anti-G3BP1 (phospho Ser232) antibody used in IHC (Paraffin sections) (IHC-P). GTX50149
GTX50149 IHC-P Image

IHC-P analysis of human breast carcinoma tissue using GTX50149 G3BP1 (phospho Ser232) antibody.
Left : Primary antibody
Right : Primary antibody pre-incubated with the antigen specific peptide

3 / 3
Anti-G3BP1 (phospho Ser232) antibody used in Immunocytochemistry/ Immunofluorescence (ICC/IF). GTX50149
Anti-G3BP1 (phospho Ser232) antibody used in Western Blot (WB). GTX50149
Anti-G3BP1 (phospho Ser232) antibody used in IHC (Paraffin sections) (IHC-P). GTX50149
  • 宿主
    Rabbit
  • 克隆
    Polyclonal
  • 同种型
    IgG
  • 实验应用
    WB ICC/IF IHC-P
  • 种属反应
    Human
查看所有 G3BP1 的产品