GALNT3抗体

目录号 GTX66226
目录号  GTX66226
Anti-GALNT3 antibody used in Immunocytochemistry/ Immunofluorescence (ICC/IF). GTX66226
GTX66226 ICC/IF Image

ICC/IF analysis of U2OS cells using GTX66226 GALNT3 antibody.
Blue : DAPI
Dilution : 1:100

1 / 3
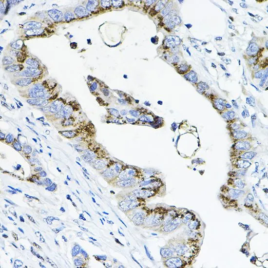
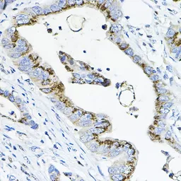
Anti-GALNT3 antibody used in IHC (Paraffin sections) (IHC-P). GTX66226
GTX66226 IHC-P Image

IHC-P analysis of human colon carcinoma tissue using GTX66226 GALNT3 antibody.
Dilution : 1:100

2 / 3
Anti-GALNT3 antibody used in Western Blot (WB). GTX66226
GTX66226 WB Image

WB analysis of various sample lysates using GTX66226 GALNT3 antibody.
Dilution : 1:1000
Loading : 25μg per lane

3 / 3
Anti-GALNT3 antibody used in Immunocytochemistry/ Immunofluorescence (ICC/IF). GTX66226
Anti-GALNT3 antibody used in IHC (Paraffin sections) (IHC-P). GTX66226
Anti-GALNT3 antibody used in Western Blot (WB). GTX66226
  • 宿主
    Rabbit
  • 克隆
    Polyclonal
  • 同种型
    IgG
  • 实验应用
    WB ICC/IF IHC-P
  • 种属反应
    Human, Mouse
查看所有 GALNT3 的产品