GATA3抗体 [MSVA-450M] HistoMAX™

目录号 GTX04420
目录号  GTX04420
Anti-GATA3 antibody [MSVA-450M] HistoMAX™ used in IHC (Paraffin sections) (IHC-P). GTX04420
GTX04420 IHC-P Image

IHC-P analysis of human renal medulla tissue using GTX04420 GATA3 antibody [MSVA-450M] HistoMAX™.
In the kidney a moderate to strong GATA3 positivity is seen in collecting ducts.

1 / 3
Anti-GATA3 antibody [MSVA-450M] HistoMAX™ used in IHC (Paraffin sections) (IHC-P). GTX04420
GTX04420 IHC-P Image

IHC-P analysis of human muscle-invasive bladder cancer (MIBC) tissue using GTX04420 GATA3 antibody [MSVA-450M] HistoMAX™.
Muscle invasive urothelial carcinoma with moderate to strong GATA3 immunostaining of tumor cells.

2 / 3
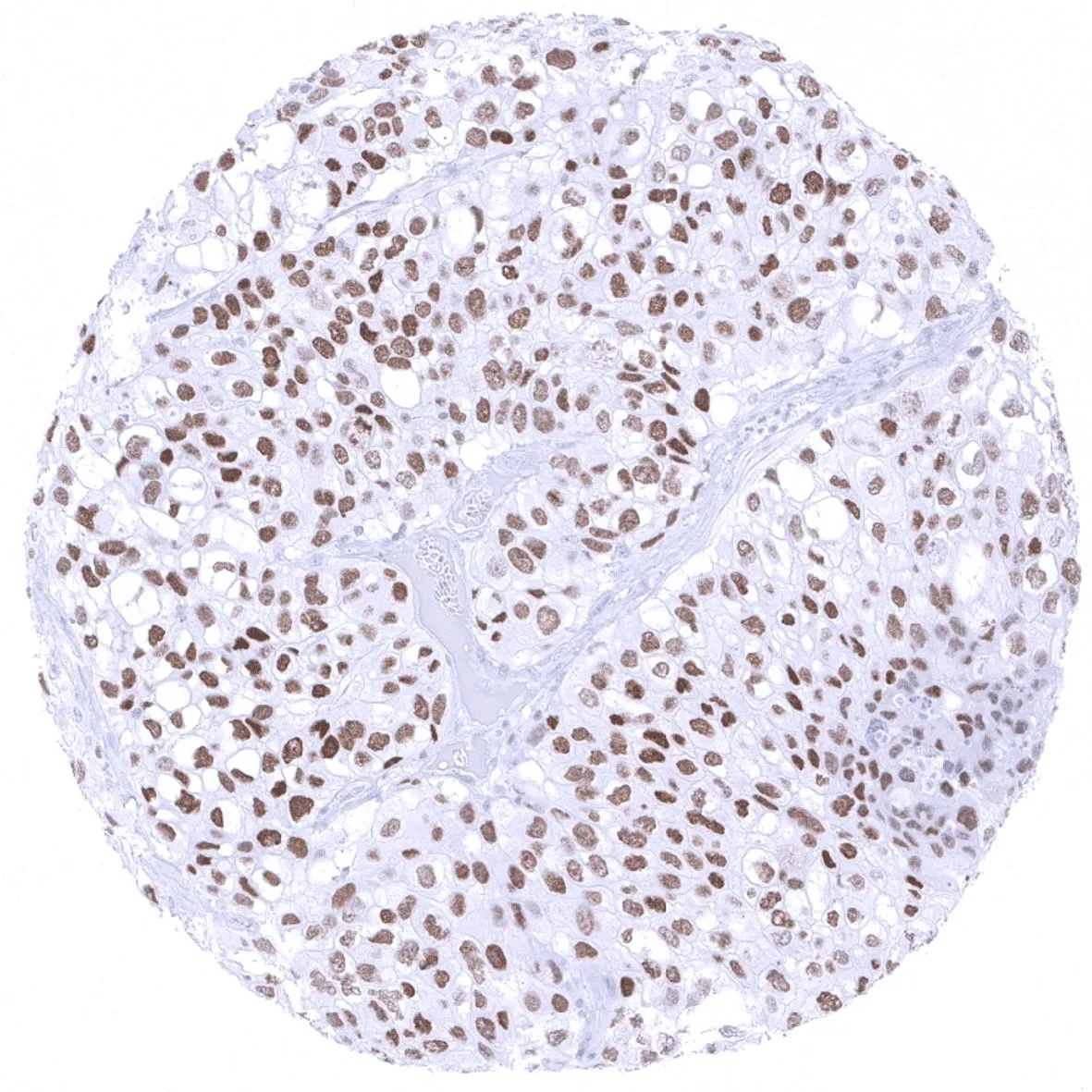
Anti-GATA3 antibody [MSVA-450M] HistoMAX™ used in IHC (Paraffin sections) (IHC-P). GTX04420
GTX04420 IHC-P Image

IHC-P analysis of human invasive breast cancer of no special type (NST) tissue using GTX04420 GATA3 antibody [MSVA-450M] HistoMAX™.
Breast cancer of no special type NST showing moderate to strong GATA3 immunostaining.

3 / 3
Anti-GATA3 antibody [MSVA-450M] HistoMAX™ used in IHC (Paraffin sections) (IHC-P). GTX04420
Anti-GATA3 antibody [MSVA-450M] HistoMAX™ used in IHC (Paraffin sections) (IHC-P). GTX04420
Anti-GATA3 antibody [MSVA-450M] HistoMAX™ used in IHC (Paraffin sections) (IHC-P). GTX04420
  • 宿主
    Mouse
  • 克隆
    Monoclonal
  • 克隆编号
    MSVA-450M
  • 同种型
    IgG2b
  • 实验应用
    IHC-P
  • 种属反应
    Human
摘要
This antibody was validated on 76 different Normal Tissues by IHC-P.

Go to Normal Tissue GalleryGo to Cancer Tissue Gallery

查看所有 GATA3 的产品