GFP抗体 [GT859]

目录号 GTX628528
目录号  GTX628528
Anti-GFP antibody [GT859] used in Immunoprecipitation (IP). GTX628528
GTX628528 IP Image

GFP tag antibody immunoprecipitates GFP-fused protein in IP experiments. IP Sample: 400 μg cell lysate/extract of GFP-fused gene transfected 293T cells A. 30 μg lysate/extract of transfected 293T cell B. Control with 2 μg of preimmune mouse IgG C. Immunoprecipitation of GFP-fused protein by 2 μg of GFP tag antibody (GTX628528) 12% SDS-PAGE The immunoprecipitated GFP-fused protein was detected by GFP tag antibody (GTX628528) diluted at 1:1000. EasyBlot anti-mouse IgG (GTX221667-01) was used as a secondary reagent.

1 / 16
Anti-GFP antibody [GT859] used in Western Blot (WB). GTX628528
GTX628528 WB Image

Non-transfected (–) and transfected (+) 293T whole cell extracts (5 μg) were separated by 5% SDS-PAGE, and the membrane was blotted with GFP antibody [GT859] (GTX628528) diluted at 1:5000. The HRP-conjugated anti-mouse IgG antibody (GTX213111-01) was used to detect the primary antibody.

2 / 16
Anti-GFP antibody [GT859] used in ELISA (ELISA). GTX628528
GTX628528 ELISA Image

ELISA detection of GFP using GTX628528 for capture and GTX113617 for detection.
Coating Ab: mouse anti-GFP (GTX628528, 2μg/well )
Sample: GFP protein
Detected Ab: rabbit anti-GFP (GTX113617)
Conjugated Ab: goat anti-rabbit IgG-HRP (GTX213110-01, 1:20000)

3 / 16
Anti-GFP antibody [GT859] used in Immunocytochemistry/ Immunofluorescence (ICC/IF). GTX628528
GTX628528 ICC/IF Image

GFP antibody [GT859] detects GFP protein by immunofluorescent analysis.
Sample: GFP-tag tagged protein transfected 293T cells were fixed in 4% paraformaldehyde at RT for 15 min.
Red: GFP stained by GFP antibody [GT859] (GTX628528) diluted at 1:2000.
Blue: Hoechst 33342 staining.

4 / 16
Anti-GFP antibody [GT859] used in Immunocytochemistry/ Immunofluorescence (ICC/IF). GTX628528
GTX628528 ICC/IF Image

GFP-tag antibody detects GFP-recombinant protein by immunofluorescent analysis. Sample: GFP-tag transfected HeLa cells were fixed in 4% paraformaldehyde at RT for 15 min. Green: GFP is expressed in the tranfected cell Red: .GFP-recombinant protein stained by GFP-tag antibody (GTX628528) diluted at 1:2000. Blue: Hoechst 33342 staining.

5 / 16
Anti-GFP antibody [GT859] used in Western Blot (WB). GTX628528
GTX628528 WB Image

Non-transfected (–) and transfected (+) 293T whole cell extracts (5 μg) were separated by 12% SDS-PAGE, and the membranes were blotted with GFP antibody [GT859] (GTX628528) diluted at 1:5000 and competitor's antibody (sc-9996) diluted at 1:5000. The HRP-conjugated anti-mouse IgG antibody (GTX213111-01) was used to detect the primary antibody.

*The competitor is not affiliated with GeneTex and does not endorse this product.

6 / 16
Anti-GFP antibody [GT859] used in Immunocytochemistry/ Immunofluorescence (ICC/IF). GTX628528
GTX628528 ICC/IF Image

The data was published in the journal Nucleic Acids Res in 2019.PMID: 30668775

7 / 16
Anti-GFP antibody [GT859] used in Western Blot (WB). GTX628528
GTX628528 WB Image

The data was published in the journal Sci Rep in 2015. PMID: 25740706

8 / 16
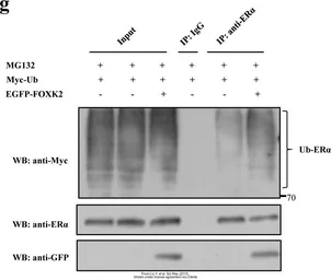
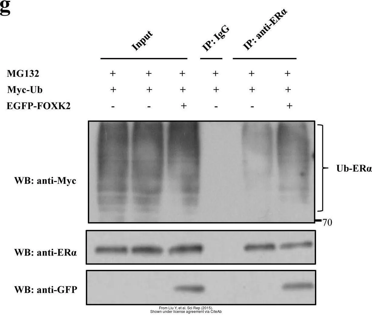
Anti-GFP antibody [GT859] used in Western Blot and Immunoprecipitation (WB IP). GTX628528
GTX628528 WB IP Image

The data was published in the journal Sci Rep in 2015. PMID: 25740706

9 / 16
Anti-GFP antibody [GT859] used in Western Blot and Immunoprecipitation (WB IP). GTX628528
GTX628528 WB IP Image

The data was published in the journal Sci Rep in 2015. PMID: 25740706

10 / 16
Anti-GFP antibody [GT859] used in Western Blot (WB). GTX628528
GTX628528 WB Image

The data was published in the journal Sci Rep in 2015.PMID: 26681405

11 / 16
Anti-GFP antibody [GT859] used in Immunoprecipitation (IP). GTX628528
GTX628528 IP Image

The data was published in the journal J Cell Biol in 2017.PMID: 28642363

12 / 16
Anti-GFP antibody [GT859] used in Western Blot (WB). GTX628528
GTX628528 WB Image

The data was published in the journal Sci Rep in 2015.PMID: 26681405

13 / 16
Anti-GFP antibody [GT859] used in Western Blot (WB). GTX628528
GTX628528 WB Image

The data was published in the journal Acta Neuropathol in 2019.PMID: 30810811

14 / 16
Anti-GFP antibody [GT859] used in Western Blot (WB). GTX628528
GTX628528 WB Image

The data was published in the journal Sci Rep in 2015.PMID: 26681405

15 / 16
Anti-GFP antibody [GT859] used in Western Blot and Immunoprecipitation (WB IP). GTX628528
GTX628528 WB IP Image

The data was published in the journal J Hematol Oncol in 2018.PMID: 30016968

16 / 16
Anti-GFP antibody [GT859] used in Immunoprecipitation (IP). GTX628528
Anti-GFP antibody [GT859] used in Western Blot (WB). GTX628528
Anti-GFP antibody [GT859] used in ELISA (ELISA). GTX628528
Anti-GFP antibody [GT859] used in Immunocytochemistry/ Immunofluorescence (ICC/IF). GTX628528
Anti-GFP antibody [GT859] used in Immunocytochemistry/ Immunofluorescence (ICC/IF). GTX628528
Anti-GFP antibody [GT859] used in Western Blot (WB). GTX628528
Anti-GFP antibody [GT859] used in Immunocytochemistry/ Immunofluorescence (ICC/IF). GTX628528
Anti-GFP antibody [GT859] used in Western Blot (WB). GTX628528
Anti-GFP antibody [GT859] used in Western Blot and Immunoprecipitation (WB IP). GTX628528
Anti-GFP antibody [GT859] used in Western Blot and Immunoprecipitation (WB IP). GTX628528
Anti-GFP antibody [GT859] used in Western Blot (WB). GTX628528
Anti-GFP antibody [GT859] used in Immunoprecipitation (IP). GTX628528
Anti-GFP antibody [GT859] used in Western Blot (WB). GTX628528
Anti-GFP antibody [GT859] used in Western Blot (WB). GTX628528
Anti-GFP antibody [GT859] used in Western Blot (WB). GTX628528
Anti-GFP antibody [GT859] used in Western Blot and Immunoprecipitation (WB IP). GTX628528
  • 宿主
    Mouse
  • 克隆
    Monoclonal
  • 克隆编号
    GT859
  • 同种型
    IgG2b
  • 实验应用
    WB ICC/IF IHC-P IHC-Fr IHC-Wm IP ELISA Sandwich ELISA
  • 种属反应
    Species independent
查看所有 GFP 的产品