GPKOW抗体 [N3C3]

目录号 GTX117716
目录号  GTX117716
Anti-GPKOW antibody [N3C3] used in Western Blot (WB). GTX117716
GTX117716 WB Image

Sample (30 ug of whole cell lysate)
A: A549
B: Hela
10% SDS PAGE
GTX117716 diluted at 1:1000

1 / 4
Anti-GPKOW antibody [N3C3] used in Immunocytochemistry/ Immunofluorescence (ICC/IF). GTX117716
GTX117716 ICC/IF Image

Immunofluorescence analysis of paraformaldehyde-fixed HeLa, using GPKOW(GTX117716) antibody at 1:200 dilution.

2 / 4
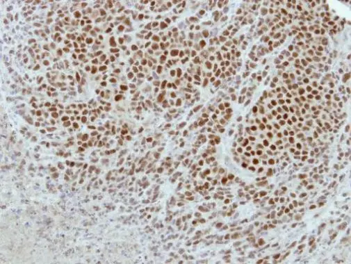
Anti-GPKOW antibody [N3C3] used in IHC (Paraffin sections) (IHC-P). GTX117716
GTX117716 IHC-P Image

GPKOW antibody [N3C3] detects GPKOW protein at nucleus in human breast cancer by immunohistochemical analysis.
Sample: Paraffin-embedded human breast cancer.
GPKOW antibody [N3C3] (GTX117716) diluted at 1:500.

Antigen Retrieval: Citrate buffer, pH 6.0, 15 min

3 / 4
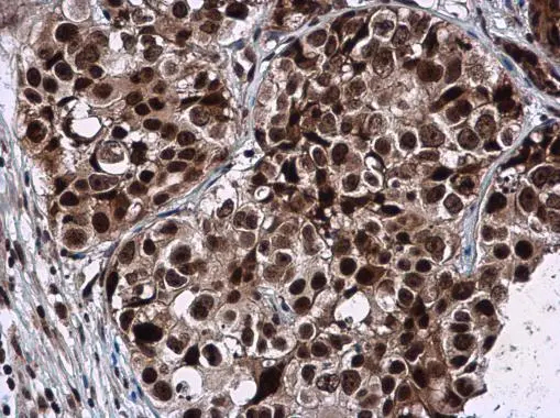
Anti-GPKOW antibody [N3C3] used in IHC (Paraffin sections) (IHC-P). GTX117716
GTX117716 IHC-P Image

Immunohistochemical analysis of paraffin-embedded SCM1 xenograft, using GPKOW(GTX117716) antibody at 1:500 dilution.
Antigen Retrieval: Trilogy™ (EDTA based, pH 8.0) buffer, 15min

4 / 4
Anti-GPKOW antibody [N3C3] used in Western Blot (WB). GTX117716
Anti-GPKOW antibody [N3C3] used in Immunocytochemistry/ Immunofluorescence (ICC/IF). GTX117716
Anti-GPKOW antibody [N3C3] used in IHC (Paraffin sections) (IHC-P). GTX117716
Anti-GPKOW antibody [N3C3] used in IHC (Paraffin sections) (IHC-P). GTX117716
  • 宿主
    Rabbit
  • 克隆
    Polyclonal
  • 同种型
    IgG
  • 实验应用
    WB ICC/IF IHC-P
  • 种属反应
    Human
查看所有 GPKOW 的产品