GPRC5C抗体 [HL3595]

目录号 GTX641566
目录号  GTX641566
Anti-GPRC5C antibody [HL3595] used in IHC (Frozen sections) (IHC-Fr). GTX641566
GTX641566 IHC-Fr Image

GPRC5C antibody [HL3595] detects GPRC5C protein by immunohistochemical analysis.
Sample: Frozen-sectioned mouse cerebellum.
Green: GPRC5C stained by GPRC5C antibody [HL3595] (GTX641566) diluted at 1:250.
Red: GFAP antibody [GT25] (GTX641104) diluted at 1:250.
Blue: Hoechst 33342 staining.

1 / 6
Anti-GPRC5C antibody [HL3595] used in IHC (Paraffin sections) (IHC-P). GTX641566
GTX641566 IHC-P Image

GPRC5C antibody [HL3595] detects GPRC5C protein by immunohistochemical analysis.
Sample: Paraffin-embedded mouse cerebellum.
GPRC5C stained by GPRC5C antibody [HL3595] (GTX641566) diluted at 1:200.
Antigen Retrieval: Tris-EDTA buffer, pH 9.0, 15 min

2 / 6
Anti-GPRC5C antibody [HL3595] used in IHC (Paraffin sections) (IHC-P). GTX641566
GTX641566 IHC-P Image

GPRC5C antibody [HL3595] detects GPRC5C protein by immunohistochemical analysis.
Sample: Paraffin-embedded mouse tissues.
GPRC5C stained by GPRC5C antibody [HL3595] (GTX641566) diluted at 1:200.
Antigen Retrieval: Tris-EDTA buffer, pH 9.0, 15 min

3 / 6
Anti-GPRC5C antibody [HL3595] used in IHC (Paraffin sections) (IHC-P). GTX641566
GTX641566 IHC-P Image

GPRC5C antibody [HL3595] detects GPRC5C protein by immunohistochemical analysis.
Sample: Paraffin-embedded human tissues.
GPRC5C stained by GPRC5C antibody [HL3595] (GTX641566) diluted at 1:200.
Antigen Retrieval: Tris-EDTA buffer, pH 9.0, 15 min

4 / 6
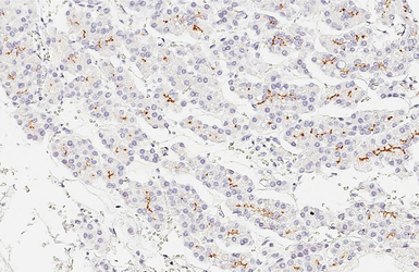
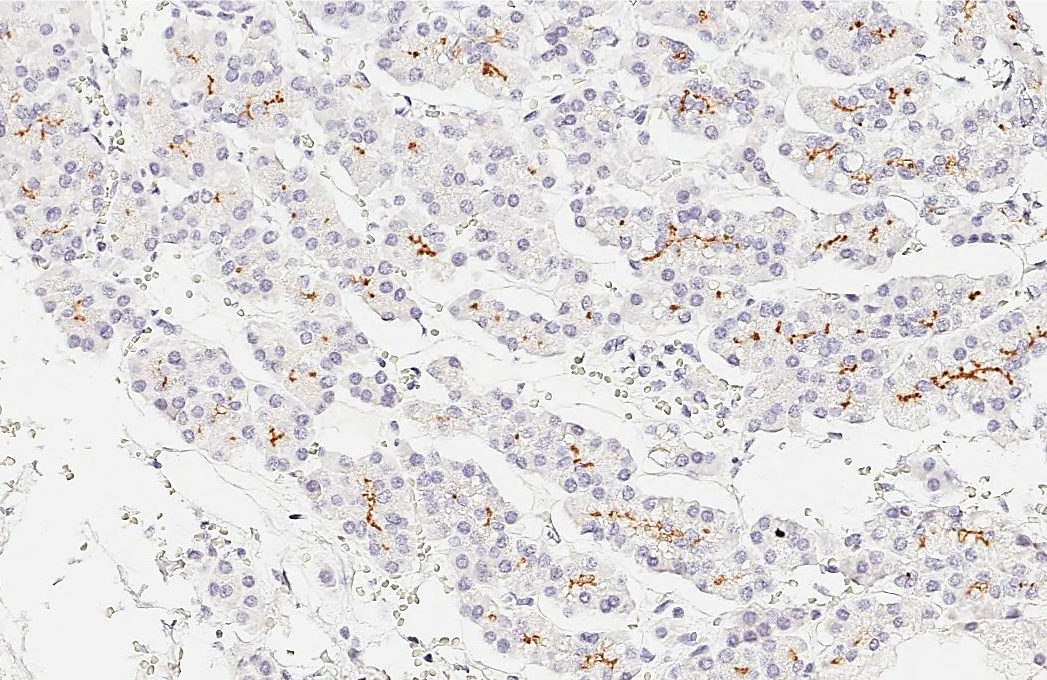
Anti-GPRC5C antibody [HL3595] used in IHC (Paraffin sections) (IHC-P). GTX641566
GTX641566 IHC-P Image

GPRC5C antibody [HL3595] detects GPRC5C protein by immunohistochemical analysis.
Sample: Paraffin-embedded human pancreas.
GPRC5C stained by GPRC5C antibody [HL3595] (GTX641566) diluted at 1:200.
Antigen Retrieval: Tris-EDTA buffer, pH 9.0, 15 min

5 / 6
Anti-GPRC5C antibody [HL3595] used in IHC (Paraffin sections) (IHC-P). GTX641566
GTX641566 IHC-P Image

GPRC5C antibody [HL3595] detects GPRC5C protein by immunohistochemical analysis.
Sample: Paraffin-embedded mouse cerebellum.
GPRC5C stained by GPRC5C antibody [HL3595] (GTX641566) diluted at 1:200.
Antigen Retrieval: Tris-EDTA buffer, pH 9.0, 15 min

6 / 6
Anti-GPRC5C antibody [HL3595] used in IHC (Frozen sections) (IHC-Fr). GTX641566
Anti-GPRC5C antibody [HL3595] used in IHC (Paraffin sections) (IHC-P). GTX641566
Anti-GPRC5C antibody [HL3595] used in IHC (Paraffin sections) (IHC-P). GTX641566
Anti-GPRC5C antibody [HL3595] used in IHC (Paraffin sections) (IHC-P). GTX641566
Anti-GPRC5C antibody [HL3595] used in IHC (Paraffin sections) (IHC-P). GTX641566
Anti-GPRC5C antibody [HL3595] used in IHC (Paraffin sections) (IHC-P). GTX641566
  • 宿主
    Rabbit
  • 克隆
    Monoclonal
  • 克隆编号
    HL3595
  • 同种型
    IgG
  • 实验应用
    IHC-P IHC-Fr
  • 种属反应
    Human, Mouse
查看所有 GPRC5C 的产品