GPS2抗体 [HL2276]

目录号 GTX638329
目录号  GTX638329
Anti-GPS2 antibody [HL2276] used in Immunocytochemistry/ Immunofluorescence (ICC/IF). GTX638329
GTX638329 ICC/IF Image

GPS2 antibody [HL2276] detects GPS2 protein at cytoplasm by immunofluorescent analysis.
Sample: 293T cells were fixed in ice-cold MeOH for 5 min.
Green: GPS2 stained by GPS2 antibody [HL2276] (GTX638329) diluted at 1:500.
Blue: Fluoroshield with DAPI (GTX30920).

1 / 7
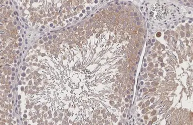
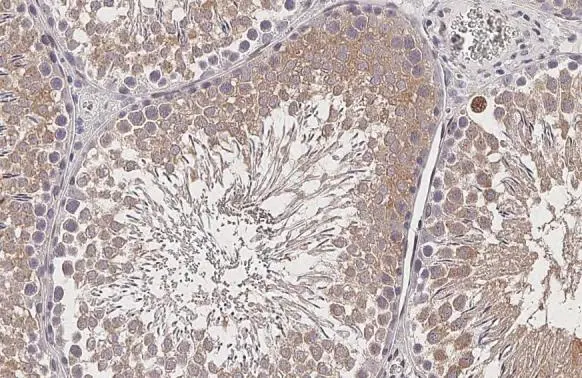
Anti-GPS2 antibody [HL2276] used in IHC (Paraffin sections) (IHC-P). GTX638329
GTX638329 IHC-P Image

GPS2 antibody [HL2276] detects GPS2 protein by immunohistochemical analysis.
Sample: Paraffin-embedded rat testis.
GPS2 stained by GPS2 antibody [HL2276] (GTX638329) diluted at 1:1000.
Antigen Retrieval: Citrate buffer, pH 6.0, 15 min

2 / 7
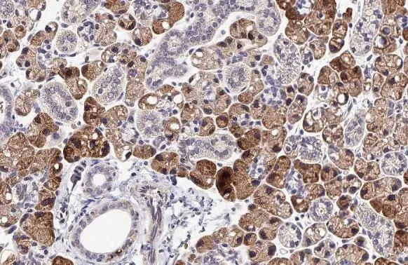
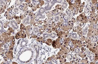
Anti-GPS2 antibody [HL2276] used in IHC (Paraffin sections) (IHC-P). GTX638329
GTX638329 IHC-P Image

GPS2 antibody [HL2276] detects GPS2 protein at mitochondria by immunohistochemical analysis.
Sample: Paraffin-embedded mouse salivary gland.
GPS2 stained by GPS2 antibody [HL2276] (GTX638329) diluted at 1:1000.
Antigen Retrieval: Citrate buffer, pH 6.0, 15 min

3 / 7
Anti-GPS2 antibody [HL2276] used in Western Blot (WB). GTX638329
GTX638329 WB Image

Rat tissue extract (50 μg) was separated by 10% SDS-PAGE, and the membrane was blotted with GPS2 antibody [HL2276] (GTX638329) diluted at 1:10000. The HRP-conjugated anti-rabbit IgG antibody (GTX213110-01) was used to detect the primary antibody.

4 / 7
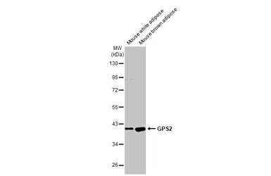
Anti-GPS2 antibody [HL2276] used in Western Blot (WB). GTX638329
GTX638329 WB Image

Various tissue extracts (30 μg) were separated by 10% SDS-PAGE, and the membrane was blotted with GPS2 antibody [HL2276] (GTX638329) diluted at 1:1000. The HRP-conjugated anti-rabbit IgG antibody (GTX213110-01) was used to detect the primary antibody.

5 / 7
Anti-GPS2 antibody [HL2276] used in Western Blot (WB). GTX638329
GTX638329 WB Image

Whole zebrafish extract (30 μg) was separated by 10% SDS-PAGE, and the membrane was blotted with GPS2 antibody [HL2276] (GTX638329) diluted at 1:1000. The HRP-conjugated anti-rabbit IgG antibody (GTX213110-01) was used to detect the primary antibody, and the signal was developed with Trident ECL plus-Enhanced.

6 / 7
Anti-GPS2 antibody [HL2276] used in Western Blot (WB). GTX638329
GTX638329 WB Image

HeLa whole cell and nuclear extracts (30 μg) were separated by 10% SDS-PAGE, and the membrane was blotted with GPS2 antibody [HL2276] (GTX638329) diluted at 1:1000. The HRP-conjugated anti-rabbit IgG antibody (GTX213110-01) was used to detect the primary antibody, and the signal was developed with Trident ECL plus-Enhanced.

7 / 7
Anti-GPS2 antibody [HL2276] used in Immunocytochemistry/ Immunofluorescence (ICC/IF). GTX638329
Anti-GPS2 antibody [HL2276] used in IHC (Paraffin sections) (IHC-P). GTX638329
Anti-GPS2 antibody [HL2276] used in IHC (Paraffin sections) (IHC-P). GTX638329
Anti-GPS2 antibody [HL2276] used in Western Blot (WB). GTX638329
Anti-GPS2 antibody [HL2276] used in Western Blot (WB). GTX638329
Anti-GPS2 antibody [HL2276] used in Western Blot (WB). GTX638329
Anti-GPS2 antibody [HL2276] used in Western Blot (WB). GTX638329
  • 宿主
    Rabbit
  • 克隆
    Monoclonal
  • 克隆编号
    HL2276
  • 同种型
    IgG
  • 实验应用
    WB ICC/IF IHC-P
  • 种属反应
    Human, Mouse, Rat, Zebrafish
查看所有 GPS2 的产品