GPX2抗体 [C1C3]

目录号 GTX100292
目录号  GTX100292
Anti-GPX2 antibody [C1C3] used in Western Blot (WB). GTX100292
GTX100292 WB Image

Non-transfected (–) and transfected (+) HepG2 whole cell extracts (30 μg) were separated by 12% SDS-PAGE, and the membrane was blotted with GPX2 antibody [C1C3] (GTX100292) diluted at 1:10000. The HRP-conjugated anti-rabbit IgG antibody (GTX213110-01) was used to detect the primary antibody.

1 / 14
Anti-GPX2 antibody [C1C3] used in Western Blot (WB). GTX100292
GTX100292 WB Image

Various whole cell extracts (30 μg) were separated by 12% SDS-PAGE, and the membrane was blotted with GPX2 antibody [C1C3] (GTX100292) diluted at 1:1000. The HRP-conjugated anti-rabbit IgG antibody (GTX213110-01) was used to detect the primary antibody. Corresponding RNA expression data for the same cell lines are based on Human Protein Atlas program.

2 / 14
Anti-GPX2 antibody [C1C3] used in Western Blot (WB). GTX100292
GTX100292 WB Image

Various whole cell extracts (30 μg) were separated by 12% SDS-PAGE, and the membrane was blotted with GPX2 antibody [C1C3] (GTX100292) diluted at 1:1000. The HRP-conjugated anti-rabbit IgG antibody (GTX213110-01) was used to detect the primary antibody.

3 / 14
Anti-GPX2 antibody [C1C3] used in IHC (Paraffin sections) (IHC-P). GTX100292
GTX100292 IHC-P Image

GPX2 antibody [C1C3] detects GPX2 protein at cytoplasm by immunohistochemical analysis.
Sample: Paraffin-embedded mouse stomach.
GPX2 stained by GPX2 antibody [C1C3] (GTX100292) diluted at 1:500.
Antigen Retrieval: Citrate buffer, pH 6.0, 15 min

4 / 14
Anti-GPX2 antibody [C1C3] used in Immunocytochemistry/ Immunofluorescence (ICC/IF). GTX100292
GTX100292 ICC/IF Image

GPX2 antibody [C1C3] detects GPX2 protein at granule by immunofluorescent analysis.
Sample: HepG2 cells were fixed in 4% paraformaldehyde at RT for 15 min.
Green: GPX2 stained by GPX2 antibody [C1C3] (GTX100292) diluted at 1:500.
Red: alpha Tubulin, a cytoskeleton marker, stained by alpha Tubulin antibody [GT114] (GTX628802) diluted at 1:1000.
Blue: Fluoroshield with DAPI (GTX30920).

5 / 14
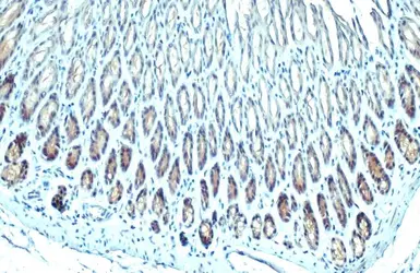
Anti-GPX2 antibody [C1C3] used in IHC (Paraffin sections) (IHC-P). GTX100292
GTX100292 IHC-P Image

Immunohistochemical analysis of paraffin-embedded human gastric cancer, using GPX2(GTX100292) antibody at 1:500 dilution.
Antigen Retrieval: Trilogy™ (EDTA based, pH 8.0) buffer, 15min

6 / 14
Anti-GPX2 antibody [C1C3] used in Western Blot (WB). GTX100292
GTX100292 WB Image

GPX2 antibody detects GPX2 protein by Western blot analysis. Mouse tissue extracts (50 μg) was separated by 12 % SDS-PAGE, and blotted with GPX2 antibody (GTX100292) diluted by 1:500

7 / 14
Anti-GPX2 antibody [C1C3] used in IHC (Paraffin sections) (IHC-P). GTX100292
GTX100292 IHC-P Image

Immunohistochemical analysis of paraffin-embedded mouse muscle, using GPX2(GTX100292) antibody at 1:500 dilution.
Antigen Retrieval: Trilogy™ (EDTA based, pH 8.0) buffer, 15min

8 / 14
Anti-GPX2 antibody [C1C3] used in Immunoprecipitation (IP). GTX100292
GTX100292 IP Image

Immunoprecipitation of GPX2 protein from HepG2 whole cell extracts using 5 μg of GPX2 antibody [C1C3] (GTX100292).
Western blot analysis was performed using GPX2 antibody [C1C3] (GTX100292).
EasyBlot anti-Rabbit IgG (GTX221666-01) was used as a secondary reagent.

9 / 14
Anti-GPX2 antibody [C1C3] used in IHC (Paraffin sections) (IHC-P). GTX100292
GTX100292 IHC-P Image

GPX2 antibody [C1C3] detects GPX2 protein at cytoplasm and nucleus by immunohistochemical analysis.
Sample: Paraffin-embedded mouse stomach.
GPX2 stained by GPX2 antibody [C1C3] (GTX100292) diluted at 1:500.
Antigen Retrieval: Citrate buffer, pH 6.0, 15 min

10 / 14
Anti-GPX2 antibody [C1C3] used in IHC (Paraffin sections) (IHC-P). GTX100292
GTX100292 IHC-P Image

GPX2 antibody [C1C3] detects GPX2 protein at cytoplasm by immunohistochemical analysis.
Sample: Paraffin-embedded rat duodenum.
GPX2 stained by GPX2 antibody [C1C3] (GTX100292) diluted at 1:500.
Antigen Retrieval: Citrate buffer, pH 6.0, 15 min

11 / 14
Anti-GPX2 antibody [C1C3] used in IHC (Paraffin sections) (IHC-P). GTX100292
GTX100292 IHC-P Image

GPX2 antibody [C1C3] detects GPX2 protein at cytoplasm by immunohistochemical analysis.
Sample: Paraffin-embedded mouse intestine.
GPX2 stained by GPX2 antibody [C1C3] (GTX100292) diluted at 1:500.
Antigen Retrieval: Citrate buffer, pH 6.0, 15 min

12 / 14
Anti-GPX2 antibody [C1C3] used in IHC (Paraffin sections) (IHC-P). GTX100292
GTX100292 IHC-P Image

GPX2 antibody [C1C3] detects GPX2 protein at cytoplasm by immunohistochemical analysis.
Sample: Paraffin-embedded rat liver.
GPX2 stained by GPX2 antibody [C1C3] (GTX100292) diluted at 1:500.
Antigen Retrieval: Citrate buffer, pH 6.0, 15 min

13 / 14
Anti-GPX2 antibody [C1C3] used in IHC (Paraffin sections) (IHC-P). GTX100292
GTX100292 IHC-P Image

GPX2 antibody [C1C3] detects GPX2 protein at cytoplasm by immunohistochemical analysis.
Sample: Paraffin-embedded mouse esophagus.
GPX2 stained by GPX2 antibody [C1C3] (GTX100292) diluted at 1:500.
Antigen Retrieval: Citrate buffer, pH 6.0, 15 min

14 / 14
Anti-GPX2 antibody [C1C3] used in Western Blot (WB). GTX100292
Anti-GPX2 antibody [C1C3] used in Western Blot (WB). GTX100292
Anti-GPX2 antibody [C1C3] used in Western Blot (WB). GTX100292
Anti-GPX2 antibody [C1C3] used in IHC (Paraffin sections) (IHC-P). GTX100292
Anti-GPX2 antibody [C1C3] used in Immunocytochemistry/ Immunofluorescence (ICC/IF). GTX100292
Anti-GPX2 antibody [C1C3] used in IHC (Paraffin sections) (IHC-P). GTX100292
Anti-GPX2 antibody [C1C3] used in Western Blot (WB). GTX100292
Anti-GPX2 antibody [C1C3] used in IHC (Paraffin sections) (IHC-P). GTX100292
Anti-GPX2 antibody [C1C3] used in Immunoprecipitation (IP). GTX100292
Anti-GPX2 antibody [C1C3] used in IHC (Paraffin sections) (IHC-P). GTX100292
Anti-GPX2 antibody [C1C3] used in IHC (Paraffin sections) (IHC-P). GTX100292
Anti-GPX2 antibody [C1C3] used in IHC (Paraffin sections) (IHC-P). GTX100292
Anti-GPX2 antibody [C1C3] used in IHC (Paraffin sections) (IHC-P). GTX100292
Anti-GPX2 antibody [C1C3] used in IHC (Paraffin sections) (IHC-P). GTX100292
  • 宿主
    Rabbit
  • 克隆
    Polyclonal
  • 同种型
    IgG
  • 实验应用
    WB ICC/IF IHC-P IP
  • 种属反应
    Human, Mouse, Rat
查看所有 GPX2 的产品