GPX2抗体 [HL125]

目录号 GTX635477
目录号  GTX635477
Anti-GPX2 antibody [HL125] used in Western Blot (WB). GTX635477
GTX635477 WB Image

Non-transfected (–) and transfected (+) HepG2 whole cell extracts (30 μg) were separated by 12% SDS-PAGE, and the membrane was blotted with GPX2 antibody [HL125] (GTX635477) diluted at 1:10000. The HRP-conjugated anti-mouse IgG antibody (GTX213111-01) was used to detect the primary antibody.

1 / 7
Anti-GPX2 antibody [HL125] used in Western Blot (WB). GTX635477
GTX635477 WB Image

Various whole cell extracts (30 μg) were separated by 12% SDS-PAGE, and the membrane was blotted with GPX2 antibody [HL125] (GTX635477) diluted at 1:1000. The HRP-conjated anti-rabbit IgG antibody (GTX213110-01) was used to detect the primary antibody. Corresponding RNA expression data for the same cell lines are based on Human Protein Atlas program.

2 / 7
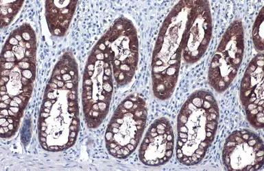
Anti-GPX2 antibody [HL125] used in IHC (Paraffin sections) (IHC-P). GTX635477
GTX635477 IHC-P Image

GPX2 antibody [HL125] detects GPX2 protein at cytoplasm by immunohistochemical analysis.
Sample: Paraffin-embedded mouse colon.
GPX2 stained by GPX2 antibody [HL125] (GTX635477) diluted at 1:200.
Antigen Retrieval: Citrate buffer, pH 6.0, 15 min

3 / 7
Anti-GPX2 antibody [HL125] used in Western Blot (WB). GTX635477
GTX635477 WB Image

Various tissue extracts (50 μg) were separated by 12% SDS-PAGE, and the membrane was blotted with GPX2 antibody [HL125] (GTX635477) diluted at 1:1000. The HRP-conjugated anti-rabbit IgG antibody (GTX213110-01) was used to detect the primary antibody.

4 / 7
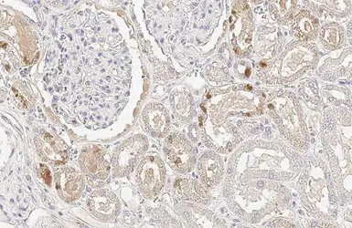
Anti-GPX2 antibody [HL125] used in IHC (Paraffin sections) (IHC-P). GTX635477
GTX635477 IHC-P Image

GPX2 antibody [HL125] detects GPX2 protein at cytoplasm by immunohistochemical analysis.
Sample: Paraffin-embedded dog kidney.
GPX2 stained by GPX2 antibody [HL125] (GTX635477) diluted at 1:100.
Antigen Retrieval: Citrate buffer, pH 6.0, 15 min

5 / 7
Anti-GPX2 antibody [HL125] used in IHC (Paraffin sections) (IHC-P). GTX635477
GTX635477 IHC-P Image

GPX2 antibody [HL125] detects GPX2 protein by immunohistochemical analysis.
Sample: Paraffin-embedded rat tissues.
GPX2 stained by GPX2 antibody [HL125] (GTX635477) diluted at 1:100.
Antigen Retrieval: Citrate buffer, pH 6.0, 15 min

6 / 7
Anti-GPX2 antibody [HL125] used in Western Blot (WB). GTX635477
GTX635477 WB Image

Whole zebrafish extract (30 μg) was separated by 12% SDS-PAGE, and the membrane was blotted with GPX2 antibody [HL125] (GTX635477) diluted at 1:1000. The HRP-conjugated anti-rabbit IgG antibody (GTX213110-01) was used to detect the primary antibody, and the signal was developed with Trident ECL plus-Enhanced.

7 / 7
Anti-GPX2 antibody [HL125] used in Western Blot (WB). GTX635477
Anti-GPX2 antibody [HL125] used in Western Blot (WB). GTX635477
Anti-GPX2 antibody [HL125] used in IHC (Paraffin sections) (IHC-P). GTX635477
Anti-GPX2 antibody [HL125] used in Western Blot (WB). GTX635477
Anti-GPX2 antibody [HL125] used in IHC (Paraffin sections) (IHC-P). GTX635477
Anti-GPX2 antibody [HL125] used in IHC (Paraffin sections) (IHC-P). GTX635477
Anti-GPX2 antibody [HL125] used in Western Blot (WB). GTX635477
  • 宿主
    Rabbit
  • 克隆
    Monoclonal
  • 克隆编号
    HL125
  • 同种型
    IgG
  • 实验应用
    WB IHC-P
  • 种属反应
    Human, Mouse, Rat, Zebrafish, Dog
查看所有 GPX2 的产品