GSTP1抗体

目录号 GTX112953
目录号  GTX112953
Anti-GSTP1 antibody used in Western Blot (WB). GTX112953
GTX112953 WB Image

Various whole cell extracts (30 μg) were separated by 12% SDS-PAGE, and the membrane was blotted with GSTP1 antibody (GTX112953) diluted at 1:1000. The HRP-conjugated anti-rabbit IgG antibody (GTX213110-01) was used to detect the primary antibody. Corresponding RNA expression data for the same cell lines are based on Human Protein Atlas program.

1 / 6
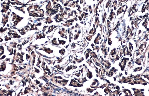
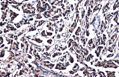
Anti-GSTP1 antibody used in IHC (Paraffin sections) (IHC-P). GTX112953
GTX112953 IHC-P Image

GSTP1 antibody detects GSTP1 protein at cytoplasm and nucleus by immunohistochemical analysis.
Sample: Paraffin-embedded human breast carcinoma.
GSTP1 stained by GSTP1 antibody (GTX112953) diluted at 1:500.
Antigen Retrieval: Citrate buffer, pH 6.0, 15 min

2 / 6
Anti-GSTP1 antibody used in Western Blot (WB). GTX112953
GTX112953 WB Image

GSTP1 antibody detects GSTP1 protein by western blot analysis.
A. 50 μg Rat brain lysate/extract
12% SDS-PAGE
GSTP1 antibody (GTX112953) dilution: 1:1000
The HRP-conjugated anti-rabbit IgG antibody (GTX213110-01) was used to detect the primary antibody.

3 / 6
Anti-GSTP1 antibody used in Western Blot (WB). GTX112953
GTX112953 WB Image

Sample (50 μg of whole cell lysate)
A: mouse brain
12% SDS PAGE
GTX112953 diluted at 1:1000
The HRP-conjugated anti-rabbit IgG antibody (GTX213110-01) was used to detect the primary antibody.

4 / 6
Anti-GSTP1 antibody used in Immunocytochemistry/ Immunofluorescence (ICC/IF). GTX112953
GTX112953 ICC/IF Image

GSTP1 antibody detects GSTP1 protein at cytoplasm and nucleus by immunofluorescent analysis.
Sample: HeLa cells were fixed in 4% paraformaldehyde at RT for 15 min.
Green: GSTP1 stained by GSTP1 antibody (GTX112953) diluted at 1:500.
Blue: Fluoroshield with DAPI (GTX30920).

5 / 6
Anti-GSTP1 antibody used in Western Blot (WB). GTX112953
GTX112953 WB Image

The data was published in the journal Evid Based Complement Alternat Med in 2012. PMID: 22536285

6 / 6
Anti-GSTP1 antibody used in Western Blot (WB). GTX112953
Anti-GSTP1 antibody used in IHC (Paraffin sections) (IHC-P). GTX112953
Anti-GSTP1 antibody used in Western Blot (WB). GTX112953
Anti-GSTP1 antibody used in Western Blot (WB). GTX112953
Anti-GSTP1 antibody used in Immunocytochemistry/ Immunofluorescence (ICC/IF). GTX112953
Anti-GSTP1 antibody used in Western Blot (WB). GTX112953
  • 宿主
    Rabbit
  • 克隆
    Polyclonal
  • 同种型
    IgG
  • 实验应用
    WB ICC/IF IHC-P
  • 种属反应
    Human, Mouse, Rat
查看所有 GSTP1 的产品