Glucocorticoid Receptor抗体 [GT1170]

目录号 GTX09130
目录号  GTX09130
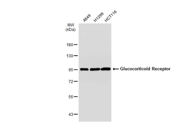
Anti-Glucocorticoid Receptor antibody [GT1170] used in Western Blot (WB). GTX09130
GTX09130 WB Image

Various whole cell extracts (30 μg) were separated by 7.5% SDS-PAGE, and the membrane was blotted with Glucocorticoid Receptor antibody [GT1170] (GTX09130) diluted at 1:1000. The HRP-conjugated anti-rabbit IgG antibody (GTX213110-01) was used to detect the primary antibody.

1 / 2
Anti-Glucocorticoid Receptor antibody [GT1170] used in Western Blot (WB). GTX09130
GTX09130 WB Image

WB analysis of various samples using GTX09130 Glucocorticoid Receptor antibody [GT1170].
Dilution : 1:1000
Loading : 25 μg

2 / 2
Anti-Glucocorticoid Receptor antibody [GT1170] used in Western Blot (WB). GTX09130
Anti-Glucocorticoid Receptor antibody [GT1170] used in Western Blot (WB). GTX09130
  • 宿主
    Rabbit
  • 克隆
    Monoclonal
  • 克隆编号
    GT1170
  • 同种型
    IgG
  • 实验应用
    WB
  • 种属反应
    Human, Mouse, Rat
查看所有 Glucocorticoid Receptor 的产品