Histone H3K9me3 (Tri-methyl Lys9)抗体

目录号 GTX121677
目录号  GTX121677
Anti-Histone H3K9me3 (Tri-methyl Lys9) antibody used in Immunoprecipitation (IP). GTX121677
GTX121677 IP Image

Immunoprecipitation of Histone H3 (tri-Methyl Lys9) protein from 293T whole cell extracts using 5 μg of Histone H3 (tri-Methyl Lys9) (GTX121677).
Western blot analysis was performed using Histone H3 (tri-Methyl Lys9) (GTX121677) diluted at 1:500.
EasyBlot anti-Rabbit IgG (GTX221666-01) was used as a secondary reagent.

1 / 6
Anti-Histone H3K9me3 (Tri-methyl Lys9) antibody used in Immunocytochemistry/ Immunofluorescence (ICC/IF). GTX121677
GTX121677 ICC/IF Image

Histone H3K9me3 (trimethyl Lys9) antibody detects Histone H3K9me3 (trimethyl Lys9) protein at nucleus by immunofluorescent analysis.
Sample: HeLa cells were fixed in 4% paraformaldehyde at RT for 15 min.
Green: Histone H3K9me3 (trimethyl Lys9) protein stained by Histone H3K9me3 (trimethyl Lys9) antibody (GTX121677) diluted at 1:500.
Red: Phalloidin, a cytoskeleton marker, diluted at 1:200.
Blue: Hoechst 33342 staining.
Scale bar = 10 μm.

2 / 6
Anti-Histone H3K9me3 (Tri-methyl Lys9) antibody used in ChIP assay (ChIP assay). GTX121677
GTX121677 ChIP assay Image

Cross-linked ChIP was performed with HepG2 chromatin extract and 5 μg of either normal rabbit IgG or anti-Histone H3K9me3 (trimethyl Lys9) antibody. The precipitated DNA was detected by PCR with primer set targeting to MyoD.

3 / 6
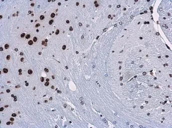
Anti-Histone H3K9me3 (Tri-methyl Lys9) antibody used in IHC (Paraffin sections) (IHC-P). GTX121677
GTX121677 IHC-P Image

Histone H3K9me3 (trimethyl Lys9) antibody detects Histone H3K9me3 (trimethyl Lys9) protein at nucleus in mouse brain by immunohistochemical analysis.
Sample: Paraffin-embedded mouse brain.
Histone H3K9me3 (trimethyl Lys9) antibody (GTX121677) diluted at 1:500.

Antigen Retrieval: Citrate buffer, pH 6.0, 15 min

4 / 6
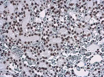
Anti-Histone H3K9me3 (Tri-methyl Lys9) antibody used in IHC (Paraffin sections) (IHC-P). GTX121677
GTX121677 IHC-P Image

Histone H3K9me3 (trimethyl Lys9) antibody detects Histone H3K9me3 (trimethyl Lys9) protein at nucleus in rat kidney by immunohistochemical analysis.
Sample: Paraffin-embedded rat kidney.
Histone H3K9me3 (trimethyl Lys9) antibody (GTX121677) diluted at 1:500.

Antigen Retrieval: Citrate buffer, pH 6.0, 15 min

5 / 6
Anti-Histone H3K9me3 (Tri-methyl Lys9) antibody used in Western Blot (WB). GTX121677
GTX121677 WB Image

Various whole cell extracts (30 μg) were separated by 15% SDS-PAGE, and the membrane was blotted with Histone H3K9me3 (Tri-methyl Lys9) antibody (GTX121677) diluted at 1:1000. The HRP-conjugated anti-rabbit IgG antibody (GTX213110-01) was used to detect the primary antibody. Corresponding RNA expression data for the same cell lines are based on Human Protein Atlas program.

6 / 6
Anti-Histone H3K9me3 (Tri-methyl Lys9) antibody used in Immunoprecipitation (IP). GTX121677
Anti-Histone H3K9me3 (Tri-methyl Lys9) antibody used in Immunocytochemistry/ Immunofluorescence (ICC/IF). GTX121677
Anti-Histone H3K9me3 (Tri-methyl Lys9) antibody used in ChIP assay (ChIP assay). GTX121677
Anti-Histone H3K9me3 (Tri-methyl Lys9) antibody used in IHC (Paraffin sections) (IHC-P). GTX121677
Anti-Histone H3K9me3 (Tri-methyl Lys9) antibody used in IHC (Paraffin sections) (IHC-P). GTX121677
Anti-Histone H3K9me3 (Tri-methyl Lys9) antibody used in Western Blot (WB). GTX121677
  • 宿主
    Rabbit
  • 克隆
    Polyclonal
  • 同种型
    IgG
  • 实验应用
    WB ICC/IF IHC-P IP ChIP assay EM
  • 种属反应
    Human, Mouse, Rat, Dog
查看所有 Histone H3 的产品