Human Factor B (Ba fragment) 蛋白, His and GST tag (active)

目录号 GTX00269-pro
目录号  GTX00269-pro
Human Factor B (Ba fragment) protein, His and GST tag (active). GTX00269-pro
GTX00269-pro Functional Assay Image

Hemolysis activity by various concentrations of GTX00269-pro Human Factor B protein (active).

1 / 4
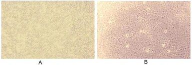
Human Factor B (Ba fragment) protein, His and GST tag (active). GTX00269-pro
GTX00269-pro Functional Assay Image

The hemagglutination effect of GTX00269-pro Human Factor B protein (active).
(A) 1% rabbit erythrocyte treated with 0.3125 μg/ml CFB, 8 mmol/l EDTA without MgCl₂.
(B) 1% rabbit erythrocyte treated with 0.3125 μg/ml CFB , 8 mmol/l EDTA with 0.5 mmol/l MgCl₂ for 1hr.

2 / 4
Human Factor B (Ba fragment) protein, His and GST tag (active). GTX00269-pro
GTX00269-pro Image

SDS-PAGE analysis of GTX00269-pro Human Factor B protein (active).

3 / 4
Human Factor B (Ba fragment) protein, His and GST tag (active). GTX00269-pro
GTX00269-pro Image

WB analysis of GTX00269-pro Human Factor B protein (active).

4 / 4
Human Factor B (Ba fragment) protein, His and GST tag (active). GTX00269-pro
Human Factor B (Ba fragment) protein, His and GST tag (active). GTX00269-pro
Human Factor B (Ba fragment) protein, His and GST tag (active). GTX00269-pro
Human Factor B (Ba fragment) protein, His and GST tag (active). GTX00269-pro
  • 实验应用
    Functional Assay
  • Speciess
    Human
查看所有 Factor B protein 的产品