Human Papillomavirus type 18 E7抗体 [GT881]

目录号 GTX634337
目录号  GTX634337
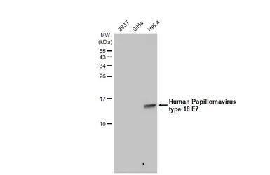
Anti-Human Papillomavirus type 18 E7 antibody [GT881] used in Western Blot (WB). GTX634337
GTX634337 WB Image

Various whole cell extracts (50 μg) were separated by 15% SDS-PAGE, and the membrane was blotted with Human Papillomavirus type 18 E7 antibody [GT881] (GTX634337) diluted at 1:5000. The HRP-conjugated anti-mouse IgG antibody (GTX213111-01) was used to detect the primary antibody.

1 / 8
Anti-Human Papillomavirus type 18 E7 antibody [GT881] used in Lateral Flow (Lateral Flow). GTX634337
GTX634337 Lateral Flow Image

Detection of Human Papillomavirus type 18 E7 protein by lateral flow assay using the monoclonal antibody pair.

Capture: Human Papillomavirus type 18 E7 antibody [HL2522] (GTX638883)
Detection: Human Papillomavirus type 18 E7 antibody [GT881] (GTX634337)

Samples (20 ng) :
1. Running buffer (N)
2. HPV16 E7 protein (GTX133411-pro)
3. HPV18 E7 protein (GTX133412-pro)

2 / 8
Anti-Human Papillomavirus type 18 E7 antibody [GT881] used in Lateral Flow (Lateral Flow). GTX634337
GTX634337 Lateral Flow Image

Detection of Human Papillomavirus type 18 E7 protein by lateral flow assay using the indicated recombinant monoclonal antibodies.

GT881 : Human Papillomavirus type 18 E7 antibody [GT881] (GTX634337)
HL2788 : Human Papillomavirus type 18 E7 antibody [HL2788] (GTX639656)
HL2789 : Human Papillomavirus type 18 E7 antibody [HL2789] (GTX639657)
HL2522 : Human Papillomavirus type 18 E7 antibody [HL2522] (GTX638883)
Samples (40 ng) : Recombinant full-length Papillomavirus type 18 E7 protein

3 / 8
Anti-Human Papillomavirus type 18 E7 antibody [GT881] used in Western Blot (WB). GTX634337
GTX634337 WB Image

Various whole cell extracts (50 μg) were separated by 15% SDS-PAGE, and the membrane was blotted with Human Papillomavirus type 18 E7 antibody [GT881] (GTX634337) diluted at 1:5000. The HRP-conjugated anti-mouse IgG antibody (GTX213111-01) was used to detect the primary antibody.

4 / 8
Anti-Human Papillomavirus type 18 E7 antibody [GT881] used in Western Blot (WB). GTX634337
GTX634337 WB Image

Non-transfected (–) and transfected (+) 293T whole cell extracts (30 μg) were separated by 15% SDS-PAGE, and the membrane was blotted with Human Papillomavirus type 18 E7 antibody [GT881] (GTX634337) diluted at 1:5000. The HRP-conjugated anti-mouse IgG antibody (GTX213111-01) was used to detect the primary antibody.

5 / 8
Anti-Human Papillomavirus type 18 E7 antibody [GT881] used in ELISA (ELISA). GTX634337
GTX634337 ELISA Image

Sandwich ELISA detection of recombinant Human Papillomavirus type 18 E7 protein, His tag (GTX133412-pro) using antibodies as below.

Capture: Human Papillomavirus type 18 E7 antibody [GT881] (GTX634337) (5 μg/mL)
Detection: Human Papillomavirus type 18 E7 antibody [HL2522] (GTX638883) (1 μg/mL)

6 / 8
Anti-Human Papillomavirus type 18 E7 antibody [GT881] used in ELISA (ELISA). GTX634337
GTX634337 ELISA Image

Sandwich ELISA detection of recombinant Human Papillomavirus type 18 E7 protein, His tag (GTX133412-pro) using antibodies as below.

Capture: Human Papillomavirus type 18 E7 antibody [HL2522] (GTX638883) (5 μg/mL)
Detection: Human Papillomavirus type 18 E7 antibody [GT881] (GTX634337) (1 μg/mL)

7 / 8
Anti-Human Papillomavirus type 18 E7 antibody [GT881] used in Immunocytochemistry/ Immunofluorescence (ICC/IF). GTX634337
GTX634337 ICC/IF Image

Human Papillomavirus type 18 E7 antibody [GT881] detects Human Papillomavirus type 18 E7 protein at cytoplasm by immunofluorescent analysis.
Sample: HeLa cells were fixed in 4% paraformaldehyde at RT for 15 min.
Green: Human Papillomavirus type 18 E7 stained by Human Papillomavirus type 18 E7 antibody [GT881] (GTX634337) diluted at 1:500.
Blue: Hoechst 33342 staining.
Scale bar= 10μm.

8 / 8
Anti-Human Papillomavirus type 18 E7 antibody [GT881] used in Western Blot (WB). GTX634337
Anti-Human Papillomavirus type 18 E7 antibody [GT881] used in Lateral Flow (Lateral Flow). GTX634337
Anti-Human Papillomavirus type 18 E7 antibody [GT881] used in Lateral Flow (Lateral Flow). GTX634337
Anti-Human Papillomavirus type 18 E7 antibody [GT881] used in Western Blot (WB). GTX634337
Anti-Human Papillomavirus type 18 E7 antibody [GT881] used in Western Blot (WB). GTX634337
Anti-Human Papillomavirus type 18 E7 antibody [GT881] used in ELISA (ELISA). GTX634337
Anti-Human Papillomavirus type 18 E7 antibody [GT881] used in ELISA (ELISA). GTX634337
Anti-Human Papillomavirus type 18 E7 antibody [GT881] used in Immunocytochemistry/ Immunofluorescence (ICC/IF). GTX634337
  • 宿主
    Mouse
  • 克隆
    Monoclonal
  • 克隆编号
    GT881
  • 同种型
    IgG1
  • 实验应用
    WB ICC/IF ELISA Lateral Flow Sandwich ELISA
  • 种属反应
    Human papillomavirus type 18
查看所有 Human Papillomavirus type 18 E7 的产品