IL6抗体

目录号 GTX110527
目录号  GTX110527
Anti-IL6 antibody used in Western Blot (WB). GTX110527
GTX110527 WB Image

Recombinant protein IL-6 were separated by 12% SDS-PAGE, and the membranes were blotted with IL6 antibody (GTX110527) diluted at 1:1000 and highly cited competitor's antibody diluted at 1:2000. The HRP-conjugated anti-rabbit IgG antibody (GTX213110-01) was used to detect the primary antibody.

*The competitor is not affiliated with GeneTex and does not endorse this product.

1 / 11
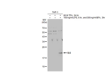
Anti-IL6 antibody used in Western Blot (WB). GTX110527
GTX110527 WB Image

Untreated (–) and treated (+) THP-1 whole cell extract (30 μg) were separated by 12% SDS-PAGE, and the membrane was blotted with IL6 antibody (GTX110527) diluted at 1:500. The HRP-conjugated anti-rabbit IgG antibody (GTX213110-01) was used to detect the primary antibody.

2 / 11
Anti-IL6 antibody used in Western Blot (WB). GTX110527
GTX110527 WB Image

Non-transfected (–) and transfected (+) 293T whole cell extracts (30 μg) were separated by 12% SDS-PAGE, and the membrane was blotted with IL6 antibody (GTX110527) diluted at 1:1500. The HRP-conjugated anti-rabbit IgG antibody (GTX213110-01) was used to detect the primary antibody.

3 / 11
Anti-IL6 antibody used in Western Blot (WB). GTX110527
GTX110527 WB Image

Recombinant IL6 were separated by 12% SDS-PAGE, and the membrane was blotted with IL6 antibody (GTX110527) diluted at 1:2000. The HRP-conjugated anti-rabbit IgG antibody (GTX213110-01) was used to detect the primary antibody.

4 / 11
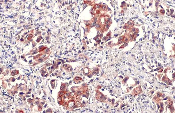
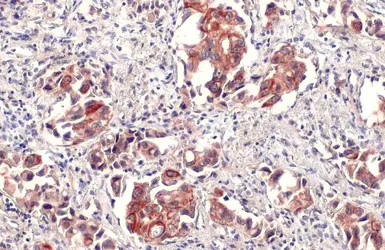
Anti-IL6 antibody used in IHC (Paraffin sections) (IHC-P). GTX110527
GTX110527 IHC-P Image

IL6 antibody detects IL6 protein at cell membrane and cytoplasm by immunohistochemical analysis.
Sample: Paraffin-embedded human lung cancer.
IL6 stained by IL6 antibody (GTX110527) diluted at 1:500.
Antigen Retrieval: Citrate buffer, pH 6.0, 15 min

5 / 11
Anti-IL6 antibody used in Western Blot (WB). GTX110527
GTX110527 WB Image

The data was published in the journal Int J Mol Sci in 2019. PMID: 30987270

6 / 11
Anti-IL6 antibody used in Western Blot (WB). GTX110527
GTX110527 WB Image

The data was published in the journal Nat Commun in 2018. PMID: 29422647

7 / 11
Anti-IL6 antibody used in Western Blot (WB). GTX110527
GTX110527 WB Image

The data was published in the journal Stem Cell Res Ther in 2017.PMID: 28482861

8 / 11
Anti-IL6 antibody used in Western Blot (WB). GTX110527
GTX110527 WB Image

The data was published in the journal Mol Cancer in 2017.PMID: 28784136

9 / 11
Anti-IL6 antibody used in Western Blot (WB). GTX110527
GTX110527 WB Image

The data was published in the journal Nat Commun in 2018. PMID: 29422647

10 / 11
Anti-IL6 antibody used in Western Blot (WB). GTX110527
GTX110527 WB Image

The data was published in the journal PLoS One in 2015. PMID: 26465338

11 / 11
Anti-IL6 antibody used in Western Blot (WB). GTX110527
Anti-IL6 antibody used in Western Blot (WB). GTX110527
Anti-IL6 antibody used in Western Blot (WB). GTX110527
Anti-IL6 antibody used in Western Blot (WB). GTX110527
Anti-IL6 antibody used in IHC (Paraffin sections) (IHC-P). GTX110527
Anti-IL6 antibody used in Western Blot (WB). GTX110527
Anti-IL6 antibody used in Western Blot (WB). GTX110527
Anti-IL6 antibody used in Western Blot (WB). GTX110527
Anti-IL6 antibody used in Western Blot (WB). GTX110527
Anti-IL6 antibody used in Western Blot (WB). GTX110527
Anti-IL6 antibody used in Western Blot (WB). GTX110527
  • 宿主
    Rabbit
  • 克隆
    Polyclonal
  • 同种型
    IgG
  • 实验应用
    WB IHC-P IHC-Fr
  • 种属反应
    Human, Mouse, Rat
查看所有 IL6 的产品