Integrin alpha E抗体 [ITGAE/2474]

目录号 GTX17969
目录号  GTX17969
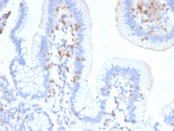
Anti-Integrin alpha E antibody [ITGAE/2474] used in IHC (Paraffin sections) (IHC-P). GTX17969
GTX17969 IHC-P Image

IHC-P analysis of human small intestine tissue using GTX17969 Integrin alpha E antibody [ITGAE/2474].

1 / 4
Anti-Integrin alpha E antibody [ITGAE/2474] used in Protein Array (Protein Array). GTX17969
GTX17969 Protein Array Image

Analysis of Protein Array containing more than 19,000 full-length human proteins using CD103 Mouse Monoclonal Antibody (ITGAE/2474). Z- and S- Score: The Z-score represents the strength of a signal that a monoclonal antibody produces when binding to a particular protein on the HuProtTM array. Z-scores are described in units of standard deviations (SD’s) above the mean value of all signals generated on that array. If targets on HuProtTM are arranged in descending order of the Z-score, the S-score is the difference (also in units of SD’s) between the Z-score. S-score therefore represents the relative target specificity of a Monoclonal Antibody to its intended target. A Monoclonal Antibody is considered to specific to its intended target if the Monoclonal Antibody has an S-score of at least 2.5. For example, if a Monoclonal Antibody binds to protein X with a Z-score of 43 and to protein Y with a Z-score of 14, then the S-score for the binding of that Monoclonal Antibody to protein X is equal to 29.

2 / 4
Anti-Integrin alpha E antibody [ITGAE/2474] used in IHC (Paraffin sections) (IHC-P). GTX17969
GTX17969 IHC-P Image

IHC-P analysis of human tonsil tissue using GTX17969 Integrin alpha E antibody [ITGAE/2474].

3 / 4
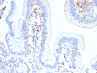
Anti-Integrin alpha E antibody [ITGAE/2474] used in IHC (Paraffin sections) (IHC-P). GTX17969
GTX17969 IHC-P Image

IHC-P analysis of human colon tissue using GTX17969 Integrin alpha E antibody [ITGAE/2474].

4 / 4
Anti-Integrin alpha E antibody [ITGAE/2474] used in IHC (Paraffin sections) (IHC-P). GTX17969
Anti-Integrin alpha E antibody [ITGAE/2474] used in Protein Array (Protein Array). GTX17969
Anti-Integrin alpha E antibody [ITGAE/2474] used in IHC (Paraffin sections) (IHC-P). GTX17969
Anti-Integrin alpha E antibody [ITGAE/2474] used in IHC (Paraffin sections) (IHC-P). GTX17969
  • 宿主
    Mouse
  • 克隆
    Monoclonal
  • 克隆编号
    ITGAE/2474
  • 同种型
    IgG2b
  • 实验应用
    IHC-P Protein Array
  • 种属反应
    Human
查看所有 Integrin alpha E 的产品