Integrin beta 3抗体

目录号 GTX50435
目录号  GTX50435
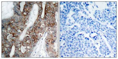
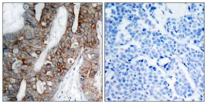
Anti-Integrin beta 3 antibody used in IHC (Paraffin sections) (IHC-P). GTX50435
GTX50435 IHC-P Image

IHC-P analysis of human breast carcinoma tissue using GTX50435 Integrin beta 3 antibody.
Left : Primary antibody
Right : Primary antibody pre-incubated with the antigen specific peptide

1 / 2
Anti-Integrin beta 3 antibody used in Western Blot (WB). GTX50435
GTX50435 WB Image

WB analysis of extracts from HL-60 and HT-29 cells using GTX50435 Integrin beta 3 antibody.

2 / 2
Anti-Integrin beta 3 antibody used in IHC (Paraffin sections) (IHC-P). GTX50435
Anti-Integrin beta 3 antibody used in Western Blot (WB). GTX50435
  • 宿主
    Rabbit
  • 克隆
    Polyclonal
  • 同种型
    IgG
  • 实验应用
    WB IHC-P
  • 种属反应
    Human, Mouse
查看所有 Integrin beta 3 的产品