Interferon gamma Receptor 1抗体

目录号 GTX103098
目录号  GTX103098
Anti-Interferon gamma Receptor 1 antibody used in Western Blot (WB). GTX103098
GTX103098 WB Image

Wild-type (WT) and Interferon gamma Receptor 1 knockout (KO) HeLa cell extracts (30 μg) were separated by 7.5% SDS-PAGE, and the membrane was blotted with Interferon gamma Receptor 1 antibody (GTX103098) diluted at 1:500. The HRP-conjugated anti-rabbit IgG antibody (GTX213110-01) was used to detect the primary antibody, and the signal was developed with Trident ECL plus-Enhanced.

1 / 5
Anti-Interferon gamma Receptor 1 antibody used in Western Blot (WB). GTX103098
GTX103098 WB Image

HepG2 whole cell and membrane extracts (30 μg) were separated by 10% SDS-PAGE, and the membrane was blotted with Interferon gamma Receptor 1 antibody (GTX103098) diluted at 1:1000. The HRP-conjugated anti-rabbit IgG antibody (GTX213110-01) was used to detect the primary antibody.

2 / 5
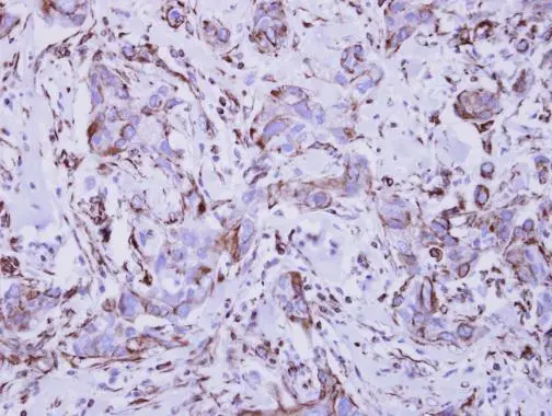
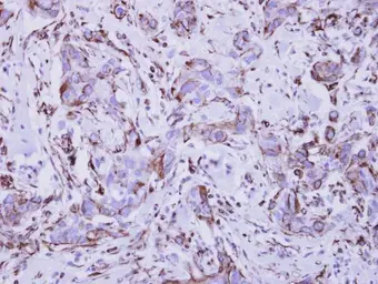
Anti-Interferon gamma Receptor 1 antibody used in IHC (Paraffin sections) (IHC-P). GTX103098
GTX103098 IHC-P Image

Immunohistochemical analysis of paraffin-embedded human breast cancer, using Interferon gamma Receptor 1(GTX103098) antibody at 1:250 dilution.
Antigen Retrieval: Trilogy™ (EDTA based, pH 8.0) buffer, 15min

3 / 5
Anti-Interferon gamma Receptor 1 antibody used in Western Blot (WB). GTX103098
GTX103098 WB Image

Interferon gamma Receptor 1 antibody detects Interferon gamma Receptor 1 protein by western blot analysis. Whole cell extracts (30 μg) was separated by 10% SDS-PAGE, and the membrane was blotted with Interferon gamma Receptor 1 antibody (GTX103098) diluted by 1:1000. The HRP-conjugated anti-rabbit IgG antibody (GTX213110-01) was used to detect the primary antibody.

4 / 5
Anti-Interferon gamma Receptor 1 antibody used in Immunocytochemistry/ Immunofluorescence (ICC/IF). GTX103098
GTX103098 ICC/IF Image

Interferon gamma Receptor 1 antibody detects Interferon gamma Receptor 1 protein at cell membrane by immunofluorescent analysis.
Sample: HepG2 cells were fixed in 4% paraformaldehyde at RT for 15 min.
Green: Interferon gamma Receptor 1 stained by Interferon gamma Receptor 1 antibody (GTX103098) diluted at 1:500.
Blue: Fluoroshield with DAPI (GTX30920).

5 / 5
Anti-Interferon gamma Receptor 1 antibody used in Western Blot (WB). GTX103098
Anti-Interferon gamma Receptor 1 antibody used in Western Blot (WB). GTX103098
Anti-Interferon gamma Receptor 1 antibody used in IHC (Paraffin sections) (IHC-P). GTX103098
Anti-Interferon gamma Receptor 1 antibody used in Western Blot (WB). GTX103098
Anti-Interferon gamma Receptor 1 antibody used in Immunocytochemistry/ Immunofluorescence (ICC/IF). GTX103098
  • 宿主
    Rabbit
  • 克隆
    Polyclonal
  • 同种型
    IgG
  • 实验应用
    WB ICC/IF IHC-P
  • 种属反应
    Human
查看所有 Interferon gamma Receptor 1 的产品