Ki67抗体 [HL4117]

目录号 GTX642563
目录号  GTX642563
Anti-Ki67 antibody [HL4117] used in IHC (Paraffin sections) (IHC-P). GTX642563
GTX642563 IHC-P Image

Ki67 antibody [HL4117] detects Ki67 protein by immunohistochemical analysis.
Sample: Paraffin-embedded human oral carcinoma.
Ki67 stained by Ki67 antibody [HL4117] (GTX642563) diluted at 1:2000 and highly cited competitor's antibody diluted at 1:200.
Antigen Retrieval: Tris-EDTA buffer, pH 9.0, 15 min

*Competitor's antibody is not affiliated with GeneTex and does not endorse this product.

*The competitor is not affiliated with GeneTex and does not endorse this product.

1 / 7
Anti-Ki67 antibody [HL4117] used in Western Blot (WB). GTX642563
GTX642563 WB Image

Various whole cell extracts (30 μg) were separated by 5% SDS-PAGE, and the membrane was blotted with Ki67 antibody [HL4117] (GTX642563) diluted at 1:1000. The HRP-conjugated anti-rabbit IgG antibody (GTX213110-01) was used to detect the primary antibody.

2 / 7
Anti-Ki67 antibody [HL4117] used in IHC (Paraffin sections) (IHC-P). GTX642563
GTX642563 IHC-P Image

Ki67 antibody [HL4117] detects Ki67 protein by immunohistochemical analysis.
Sample: Paraffin-embedded human tissues.
Ki67 stained by Ki67 antibody [HL4117] (GTX642563) diluted at 1:2000.
Antigen Retrieval: Tris-EDTA buffer, pH 9.0, 15 min

3 / 7
Anti-Ki67 antibody [HL4117] used in Immunocytochemistry/ Immunofluorescence (ICC/IF). GTX642563
GTX642563 ICC/IF Image

Ki67 antibody [HL4117] detects Ki67 protein by immunofluorescent analysis.
Sample: HeLa cells were fixed in 4% paraformaldehyde at RT for 15 min.
Green: Ki67 stained by Ki67 antibody [HL4117] (GTX642563) diluted at 1:500.
Red: alpha Tubulin, a cytoskeleton marker, stained by alpha Tubulin antibody [GT114] (GTX628802) diluted at 1:1000.
Blue: Fluoroshield with DAPI (GTX30920).

4 / 7
Anti-Ki67 antibody [HL4117] used in Immunocytochemistry/ Immunofluorescence (ICC/IF). GTX642563
GTX642563 ICC/IF Image

Ki67 antibody [HL4117] detects Ki67 protein by immunofluorescent analysis.
Sample: HeLa cells were fixed in ice-cold MeOH for 5 min.
Green: Ki67 stained by Ki67 antibody [HL4117] (GTX642563) diluted at 1:500.
Red: alpha Tubulin, a cytoskeleton marker, stained by alpha Tubulin antibody [GT114] (GTX628802) diluted at 1:1000.
Blue: Fluoroshield with DAPI (GTX30920).

5 / 7
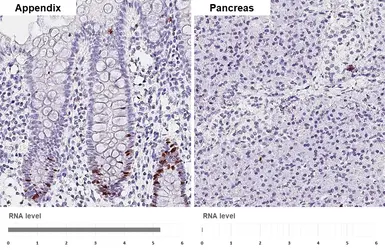
Anti-Ki67 antibody [HL4117] used in IHC (Paraffin sections) (IHC-P). GTX642563
GTX642563 IHC-P Image

Ki67 antibody [HL4117] detects Ki67 protein by immunohistochemical analysis.
Sample: Paraffin-embedded human tissues.
Ki67 stained by Ki67 antibody [HL4117] (GTX642563) diluted at 1:2000.
Antigen Retrieval: Tris-EDTA buffer, pH 9.0, 15 min

6 / 7
Anti-Ki67 antibody [HL4117] used in IHC (Paraffin sections) (IHC-P). GTX642563
GTX642563 IHC-P Image

Ki67 antibody [HL4117] detects Ki67 protein by immunohistochemical analysis.
Sample: Paraffin-embedded human colon.
Ki67 stained by Ki67 antibody [HL4117] (GTX642563) diluted at 1:2000.
Antigen Retrieval: Tris-EDTA buffer, pH 9.0, 15 min

7 / 7
Anti-Ki67 antibody [HL4117] used in IHC (Paraffin sections) (IHC-P). GTX642563
Anti-Ki67 antibody [HL4117] used in Western Blot (WB). GTX642563
Anti-Ki67 antibody [HL4117] used in IHC (Paraffin sections) (IHC-P). GTX642563
Anti-Ki67 antibody [HL4117] used in Immunocytochemistry/ Immunofluorescence (ICC/IF). GTX642563
Anti-Ki67 antibody [HL4117] used in Immunocytochemistry/ Immunofluorescence (ICC/IF). GTX642563
Anti-Ki67 antibody [HL4117] used in IHC (Paraffin sections) (IHC-P). GTX642563
Anti-Ki67 antibody [HL4117] used in IHC (Paraffin sections) (IHC-P). GTX642563
  • 宿主
    Rabbit
  • 克隆
    Monoclonal
  • 克隆编号
    HL4117
  • 同种型
    IgG
  • 实验应用
    WB ICC/IF IHC-P
  • 种属反应
    Human
查看所有 Ki67 的产品