Ku70抗体

目录号 GTX101820
目录号  GTX101820
Anti-Ku70 antibody used in Immunoprecipitation (IP). GTX101820
GTX101820 IP Image

Ku70 antibody immunoprecipitates Ku70 protein in IP experiments. IP Sample: 1000 μg HeLa whole cell lysate/extract A. 40 μg HeLa whole cell lysate/extract B. Control with 2.5 μg of preimmune rabbit IgG C. Immunoprecipitation of Ku70 protein by 2.5 μg of Ku70 antibody (GTX101820) 7.5% SDS-PAGE The immunoprecipitated Ku70 protein was detected by Ku70 antibody (GTX101820) diluted at 1:1000. EasyBlot anti-rabbit IgG (GTX221666-01) was used as a secondary reagent.

1 / 6
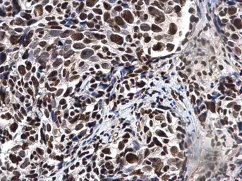
Anti-Ku70 antibody used in IHC (Paraffin sections) (IHC-P). GTX101820
GTX101820 IHC-P Image

Immunohistochemical analysis of paraffin-embedded D54 xenograft, using Ku70(GTX101820) antibody at 1:500 dilution.
Antigen Retrieval: Trilogy™ (EDTA based, pH 8.0) buffer, 15min

2 / 6
Anti-Ku70 antibody used in Immunocytochemistry/ Immunofluorescence (ICC/IF). GTX101820
GTX101820 ICC/IF Image

Ku70 antibody detects Ku70 protein at nucleus by immunofluorescent analysis.
Samples: HeLa cells were fixed in 4% paraformaldehyde at RT for 15 min.
Green: Ku70 protein stained by Ku70 antibody (GTX101820) diluted at 1:200.
Red: phalloidin, a cytoskeleton marker, diluted at 1:200.
Scale bar = 10 μm.

3 / 6
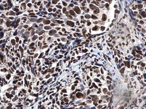
Anti-Ku70 antibody used in IHC (Paraffin sections) (IHC-P). GTX101820
GTX101820 IHC-P Image

Ku70 antibody detects Ku70 protein at nucleus in human cervical cancer by immunohistochemical analysis.
Sample: Paraffin-embedded human cervical cancer.
Ku70 antibody (GTX101820) diluted at 1:500.

Antigen Retrieval: Citrate buffer, pH 6.0, 15 min

4 / 6
Anti-Ku70 antibody used in Western Blot (WB). GTX101820
GTX101820 WB Image

Ku70 antibody detects Ku70 protein by western blot analysis. Various whole cell extracts (30 μg) were separated by 7.5% SDS-PAGE, and the membrane was blotted with Ku70 antibody (GTX101820) diluted by 1:2000. The HRP-conjugated anti-rabbit IgG antibody (GTX213110-01) was used to detect the primary antibody.

5 / 6
Anti-Ku70 antibody used in Western Blot (WB). GTX101820
GTX101820 WB Image

The data was published in the journal Cell Commun Signal in 2014. PMID: 25421435

6 / 6
Anti-Ku70 antibody used in Immunoprecipitation (IP). GTX101820
Anti-Ku70 antibody used in IHC (Paraffin sections) (IHC-P). GTX101820
Anti-Ku70 antibody used in Immunocytochemistry/ Immunofluorescence (ICC/IF). GTX101820
Anti-Ku70 antibody used in IHC (Paraffin sections) (IHC-P). GTX101820
Anti-Ku70 antibody used in Western Blot (WB). GTX101820
Anti-Ku70 antibody used in Western Blot (WB). GTX101820
  • 宿主
    Rabbit
  • 克隆
    Polyclonal
  • 同种型
    IgG
  • 实验应用
    WB ICC/IF IHC-P IP PLA
  • 种属反应
    Human, Mouse
查看所有 Ku70 的产品