Ku80抗体 [149.8]

目录号 GTX70276
目录号  GTX70276
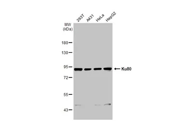
Anti-Ku80 antibody [149.8] used in Western Blot (WB). GTX70276
GTX70276 WB Image

Various whole cell extracts (30 μg) were separated by 7.5% SDS-PAGE, and the membrane was blotted with Ku80 antibody [149.8] (GTX70276) diluted at 1:1000. The HRP-conjugated anti-mouse IgG antibody (GTX213111-01) was used to detect the primary antibody.

1 / 7
Anti-Ku80 antibody [149.8] used in Immunocytochemistry/ Immunofluorescence (ICC/IF). GTX70276
GTX70276 ICC/IF Image

Ku80 antibody [149.8] detects Ku80 protein at nucleus by immunofluorescent analysis.
Sample: HeLa cells were fixed in 4% paraformaldehyde at RT for 15 min.
Green: Ku80 protein stained by Ku80 antibody [149.8] (GTX70276) diluted at 1:500.
Blue: Hoechst 33343 staining.

2 / 7
Anti-Ku80 antibody [149.8] used in Western Blot (WB). GTX70276
GTX70276 WB Image

Sample (30 ug of whole cell lysate)
A: Jurkat
B: Raji
C: 293T
D: A431
E: HeLa
F: HepG2
G: H1299
H: HCT116
I: MCF-7
J: NT2D1
K: PC-3
L: U87-MG
7.5% SDS PAGE
GTX70276 diluted at 1:10000

3 / 7
Anti-Ku80 antibody [149.8] used in Western Blot (WB). GTX70276
GTX70276 WB Image

Sample (whole cell lysate)
A: 293T 20ug
B: 293T 10ug
C: 293T 5ug
7.5% SDS PAGE
GTX70276 diluted at 1:10000

4 / 7
Anti-Ku80 antibody [149.8] used in Western Blot (WB). GTX70276
GTX70276 WB Image

Detection of human Ku80 protein in HeLa whole cell lysate using GeneTex Ku80 149.8 monoclonal antibody GTX70276.

5 / 7
Anti-Ku80 antibody [149.8] used in Western Blot (WB). GTX70276
GTX70276 WB Image

The data was published in the journal J Virol in 2017.PMID: 28855246

6 / 7
Anti-Ku80 antibody [149.8] used in Immunocytochemistry/ Immunofluorescence (ICC/IF). GTX70276
GTX70276 ICC/IF Image

The data was published in the journal J Virol in 2017.PMID: 28855246

7 / 7
Anti-Ku80 antibody [149.8] used in Western Blot (WB). GTX70276
Anti-Ku80 antibody [149.8] used in Immunocytochemistry/ Immunofluorescence (ICC/IF). GTX70276
Anti-Ku80 antibody [149.8] used in Western Blot (WB). GTX70276
Anti-Ku80 antibody [149.8] used in Western Blot (WB). GTX70276
Anti-Ku80 antibody [149.8] used in Western Blot (WB). GTX70276
Anti-Ku80 antibody [149.8] used in Western Blot (WB). GTX70276
Anti-Ku80 antibody [149.8] used in Immunocytochemistry/ Immunofluorescence (ICC/IF). GTX70276
  • 宿主
    Mouse
  • 克隆
    Monoclonal
  • 克隆编号
    149.8
  • 同种型
    IgG1
  • 实验应用
    WB ICC/IF
  • 种属反应
    Human, Monkey
查看所有 Ku80 的产品