LYN抗体

目录号 GTX101222
目录号  GTX101222
Anti-LYN antibody used in Western Blot (WB). GTX101222
GTX101222 WB Image

Untreated (–) and treated (+) Raji whole cell extracts (30 μg) were separated by 10% SDS-PAGE, and the membrane was blotted with LYN antibody (GTX101222) diluted at 1:1000. The HRP-conjugated anti-rabbit IgG antibody (GTX213110-01) was used to detect the primary antibody, and the signal was developed with Trident ECL plus-Enhanced.

1 / 7
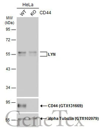
Anti-LYN antibody used in Western Blot (WB). GTX101222
GTX101222 WB Image

Wild-type (WT) and CD44 knockout (KO) HeLa cell extracts (30 μg) were separated by 10% SDS-PAGE, and the membrane was blotted with LYN antibody (GTX101222) diluted at 1:500. The HRP-conjugated anti-rabbit IgG antibody (GTX213110-01) was used to detect the primary antibody.

2 / 7
Anti-LYN antibody used in Immunocytochemistry/ Immunofluorescence (ICC/IF). GTX101222
GTX101222 ICC/IF Image

Confocal immunofluorescence analysis (Olympus FV10i) of paraformaldehyde-fixed A431, using LYN(GTX101222) antibody (Green) at 1:500 dilution. Alpha-tubulin filaments were labeled with GTX11304 (Red) at 1:2000.

3 / 7
Anti-LYN antibody used in Western Blot (WB). GTX101222
GTX101222 WB Image

Mouse tissue extract (50 μg) was separated by 10% SDS-PAGE, and the membrane was blotted with LYN antibody (GTX101222) diluted at 1:500. The HRP-conjugated anti-rabbit IgG antibody (GTX213110-01) was used to detect the primary antibody.

4 / 7
Anti-LYN antibody used in IHC (Paraffin sections) (IHC-P). GTX101222
GTX101222 IHC-P Image

Immunohistochemical analysis of paraffin-embedded human colon carcinoma, using LYN(GTX101222) antibody at 1:250 dilution.
Antigen Retrieval: Trilogy™ (EDTA based, pH 8.0) buffer, 15min

5 / 7
Anti-LYN antibody used in Immunoprecipitation (IP). GTX101222
GTX101222 IP Image

LYN antibody immunoprecipitates LYN protein in IP experiments.
IP samples: K562 whole cell extract
A. Control with 4 μg of preimmune Rabbit IgG
B. Immunoprecipitation of LYN protein by 4 μg LYN antibody (GTX101222)
5 % SDS-PAGE
The immunoprecipitated LYN protein was detected by LYN antibody (GTX101222) diluted at 1:500.
[EasyBlot anti-rabbit IgG (GTX221666-01) was used as a secondary reagent]

6 / 7
Anti-LYN antibody used in Western Blot (WB). GTX101222
GTX101222 WB Image

LYN antibody detects LYN protein by Western blot analysis.
A. 30 μg Raji whole cell lysate/extract
B. 30 μg K562 whole cell lysate/extract
C. 30 μg Raji whole cell lysate/extract
7.5 % SDS-PAGE
LYN antibody (GTX101222) dilution: 1:1000

7 / 7
Anti-LYN antibody used in Western Blot (WB). GTX101222
Anti-LYN antibody used in Western Blot (WB). GTX101222
Anti-LYN antibody used in Immunocytochemistry/ Immunofluorescence (ICC/IF). GTX101222
Anti-LYN antibody used in Western Blot (WB). GTX101222
Anti-LYN antibody used in IHC (Paraffin sections) (IHC-P). GTX101222
Anti-LYN antibody used in Immunoprecipitation (IP). GTX101222
Anti-LYN antibody used in Western Blot (WB). GTX101222
  • 宿主
    Rabbit
  • 克隆
    Polyclonal
  • 同种型
    IgG
  • 实验应用
    WB ICC/IF IHC-P IP
  • 种属反应
    Human, Mouse
查看所有 LYN 的产品