Lamin A + C抗体 [GT1137]

目录号 GTX00774
目录号  GTX00774
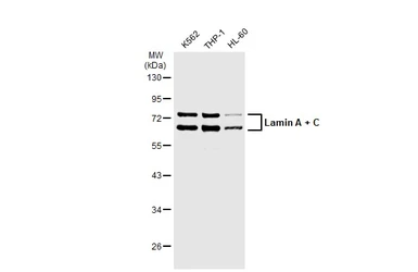
Anti-Lamin A + C antibody [GT1137] used in Western Blot (WB). GTX00774
GTX00774 WB Image

Various whole cell extracts (30 μg) were separated by 10% SDS-PAGE, and the membrane was blotted with Lamin A + C antibody [GT1137] (GTX00774) diluted at 1:500. The HRP-conjugated anti-rabbit IgG antibody (GTX213110-01) was used to detect the primary antibody.

1 / 15
Anti-Lamin A + C antibody [GT1137] used in Western Blot (WB). GTX00774
GTX00774 WB Image

WB analysis of Wild-type (WT) and Lamin A + C knockout (KO) HeLa cell extracts using GTX00774 Lamin A + C antibody [GT1137].
Dilution : 1:50000
Loading : 25μg

2 / 15
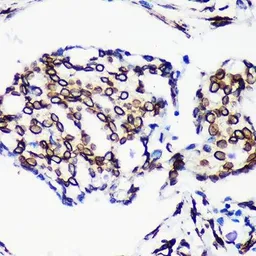
Anti-Lamin A + C antibody [GT1137] used in IHC (Paraffin sections) (IHC-P). GTX00774
GTX00774 IHC-P Image

IHC-P analysis of hmuan esophageal cancer tissue section using GTX00774 Lamin A + C antibody [GT1137].
Dlution : 1:400 - 1:3200

3 / 15
Anti-Lamin A + C antibody [GT1137] used in Western Blot (WB). GTX00774
GTX00774 WB Image

WB analysis of HeLa extracts using GTX00774 Lamin A + C antibody [GT1137].
WCE : whole cell lysate
CE : cytoplasmic extracts
NE : nuclear extracts
Dilution : 1:10000
Loading : 25μg

4 / 15
Anti-Lamin A + C antibody [GT1137] used in Western Blot (WB). GTX00774
GTX00774 WB Image

WB analysis of C6 extracts using GTX00774 Lamin A + C antibody [GT1137].
WCE : whole cell lysate
CE : cytoplasmic extracts
NE : nuclear extracts
Dilution : 1:10000
Loading : 25μg

5 / 15
Anti-Lamin A + C antibody [GT1137] used in Immunocytochemistry/ Immunofluorescence (ICC/IF). GTX00774
GTX00774 ICC/IF Image

ICC/IF analysis of H9C2 cells using GTX00774 Lamin A + C antibody [GT1137].
Green: Primary antibody
Blue: DAPI
Dlution : 1:200

6 / 15
Anti-Lamin A + C antibody [GT1137] used in Immunocytochemistry/ Immunofluorescence (ICC/IF). GTX00774
GTX00774 ICC/IF Image

ICC/IF analysis of L929 cells using GTX00774 Lamin A + C antibody [GT1137].
Green: Primary antibody
Blue: DAPI
The image was taken by Confocal microscopy.
Dlution : 1:200

7 / 15
Anti-Lamin A + C antibody [GT1137] used in Immunocytochemistry/ Immunofluorescence (ICC/IF). GTX00774
GTX00774 ICC/IF Image

ICC/IF analysis of U2OS cells using GTX00774 Lamin A + C antibody [GT1137].
Pink: Primary antibody
Blue: DAPI
Dlution : 1:100-1:1600

8 / 15
Anti-Lamin A + C antibody [GT1137] used in Immunoprecipitation (IP). GTX00774
GTX00774 IP Image

IP analysis of K562 whole cell lysate using GTX00774 Lamin A + C antibody [GT1137].
Total protein amount : 200μg
IP antibody : 3μg
Dilution : 1:20000

9 / 15
Anti-Lamin A + C antibody [GT1137] used in IHC (Paraffin sections) (IHC-P). GTX00774
GTX00774 IHC-P Image

IHC-P analysis of hmuan breast cancer tissue section using GTX00774 Lamin A + C antibody [GT1137].
Dlution : 1:200

10 / 15
Anti-Lamin A + C antibody [GT1137] used in Western Blot (WB). GTX00774
GTX00774 WB Image

WB analysis of HeLa whole cell lysate using GTX00774 Lamin A + C antibody [GT1137].
Dilution :1:10000-1:2560000
Loading : 25μg

11 / 15
Anti-Lamin A + C antibody [GT1137] used in Immunocytochemistry/ Immunofluorescence (ICC/IF). GTX00774
GTX00774 ICC/IF Image

ICC/IF analysis of HeLa cells using GTX00774 Lamin A + C antibody [GT1137].
Red: Primary antibody
Blue: DAPI
Detection system: confocol
Dlution : 1:100

12 / 15
Anti-Lamin A + C antibody [GT1137] used in Western Blot (WB). GTX00774
GTX00774 WB Image

WB analysis of NIH-3T3 extracts using GTX00774 Lamin A + C antibody [GT1137].
WCE : whole cell lysate
CE : cytoplasmic extracts
NE : nuclear extracts
Dilution : 1:10000
Loading : 25μg

13 / 15
Anti-Lamin A + C antibody [GT1137] used in Western Blot (WB). GTX00774
GTX00774 WB Image

WB analysis of various samples using GTX00774 Lamin A + C antibody [GT1137].
Dilution : 1:50000
Loading : 25μg

14 / 15
Anti-Lamin A + C antibody [GT1137] used in Immunocytochemistry/ Immunofluorescence (ICC/IF). GTX00774
GTX00774 ICC/IF Image

ICC/IF analysis of U2OS cells using GTX00774 Lamin A + C antibody [GT1137].
Green: Primary antibody
Blue: DAPI
Dlution : 1:200

15 / 15
Anti-Lamin A + C antibody [GT1137] used in Western Blot (WB). GTX00774
Anti-Lamin A + C antibody [GT1137] used in Western Blot (WB). GTX00774
Anti-Lamin A + C antibody [GT1137] used in IHC (Paraffin sections) (IHC-P). GTX00774
Anti-Lamin A + C antibody [GT1137] used in Western Blot (WB). GTX00774
Anti-Lamin A + C antibody [GT1137] used in Western Blot (WB). GTX00774
Anti-Lamin A + C antibody [GT1137] used in Immunocytochemistry/ Immunofluorescence (ICC/IF). GTX00774
Anti-Lamin A + C antibody [GT1137] used in Immunocytochemistry/ Immunofluorescence (ICC/IF). GTX00774
Anti-Lamin A + C antibody [GT1137] used in Immunocytochemistry/ Immunofluorescence (ICC/IF). GTX00774
Anti-Lamin A + C antibody [GT1137] used in Immunoprecipitation (IP). GTX00774
Anti-Lamin A + C antibody [GT1137] used in IHC (Paraffin sections) (IHC-P). GTX00774
Anti-Lamin A + C antibody [GT1137] used in Western Blot (WB). GTX00774
Anti-Lamin A + C antibody [GT1137] used in Immunocytochemistry/ Immunofluorescence (ICC/IF). GTX00774
Anti-Lamin A + C antibody [GT1137] used in Western Blot (WB). GTX00774
Anti-Lamin A + C antibody [GT1137] used in Western Blot (WB). GTX00774
Anti-Lamin A + C antibody [GT1137] used in Immunocytochemistry/ Immunofluorescence (ICC/IF). GTX00774
  • 宿主
    Rabbit
  • 克隆
    Monoclonal
  • 克隆编号
    GT1137
  • 同种型
    IgG
  • 实验应用
    WB ICC/IF IHC-P IP
  • 种属反应
    Human, Mouse, Rat
查看所有 Lamin A + C 的产品