Latrophilin 2抗体 [HL4090]

目录号 GTX642529
目录号  GTX642529
Anti-Latrophilin 2 antibody [HL4090] used in Western Blot (WB). GTX642529
GTX642529 WB Image

Non-transfected (–) and transfected (+) unboiled SH-SY5Y whole cell extracts (30 μg) were separated by 7.5% SDS-PAGE, and the membrane was blotted with Latrophilin 2 antibody [HL4090] (GTX642529) diluted at 1:1000. The HRP-conjugated anti-rabbit IgG antibody (GTX213110-01) was used to detect the primary antibody.

1 / 5
Anti-Latrophilin 2 antibody [HL4090] used in IHC (Paraffin sections) (IHC-P). GTX642529
GTX642529 IHC-P Image

Latrophilin 2 antibody [HL4090] detects Latrophilin 2 protein by immunohistochemical analysis.
Sample: Paraffin-embedded mouse hippocampal CA1.
Green: Latrophilin 2 stained by Latrophilin 2 antibody [HL4090] (GTX642529) diluted at 1:400.
Red: beta Tubulin 3/ Tuj1 antibody [GT11710] (GTX631836) diluted at 1:500.
Blue: Fluoroshield with DAPI (GTX30920).
Antigen Retrieval: Tris-EDTA buffer, pH 9.0, 15 min

2 / 5
Anti-Latrophilin 2 antibody [HL4090] used in Western Blot (WB). GTX642529
GTX642529 WB Image

Non-transfected (–) and transfected (+) unboiled 293T whole cell extracts (30 μg) were separated by 5% SDS-PAGE, and the membrane was blotted with Latrophilin 2 antibody [HL4090] (GTX642529) diluted at 1:5000. The HRP-conjugated anti-rabbit IgG antibody (GTX213110-01) was used to detect the primary antibody.

3 / 5
Anti-Latrophilin 2 antibody [HL4090] used in IHC (Paraffin sections) (IHC-P). GTX642529
GTX642529 IHC-P Image

Latrophilin 2 antibody [HL4090] detects Latrophilin 2 protein by immunohistochemical analysis.
Sample: Paraffin-embedded mouse tissues.
Latrophilin 2 stained by Latrophilin 2 antibody [HL4090] (GTX642529) diluted at 1:200.
Antigen Retrieval: Citrate buffer, pH 6.0, 15 min

4 / 5
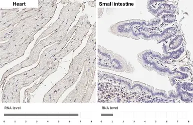
Anti-Latrophilin 2 antibody [HL4090] used in IHC (Paraffin sections) (IHC-P). GTX642529
GTX642529 IHC-P Image

Latrophilin 2 antibody [HL4090] detects Latrophilin 2 protein by immunohistochemical analysis.
Sample: Paraffin-embedded mouse tissues.
Latrophilin 2 stained by Latrophilin 2 antibody [HL4090] (GTX642529) diluted at 1:200.
Antigen Retrieval: Citrate buffer, pH 6.0, 15 min

5 / 5
Anti-Latrophilin 2 antibody [HL4090] used in Western Blot (WB). GTX642529
Anti-Latrophilin 2 antibody [HL4090] used in IHC (Paraffin sections) (IHC-P). GTX642529
Anti-Latrophilin 2 antibody [HL4090] used in Western Blot (WB). GTX642529
Anti-Latrophilin 2 antibody [HL4090] used in IHC (Paraffin sections) (IHC-P). GTX642529
Anti-Latrophilin 2 antibody [HL4090] used in IHC (Paraffin sections) (IHC-P). GTX642529
  • 宿主
    Rabbit
  • 克隆
    Monoclonal
  • 克隆编号
    HL4090
  • 同种型
    IgG
  • 实验应用
    WB IHC-P IHC-Fr
  • 种属反应
    Human, Mouse
查看所有 Latrophilin 2 的产品