Leptin抗体

目录号 GTX32702
目录号  GTX32702
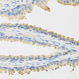
Anti-Leptin antibody used in IHC (Paraffin sections) (IHC-P). GTX32702
GTX32702 IHC-P Image

IHC-P analysis of human prostate tissue using GTX32702 Leptin antibody.
Dilution : 1:100

1 / 1
Anti-Leptin antibody used in IHC (Paraffin sections) (IHC-P). GTX32702
  • 宿主
    Rabbit
  • 克隆
    Polyclonal
  • 同种型
    IgG
  • 实验应用
    IHC-P
  • 种属反应
    Human
查看所有 Leptin 的产品