Lin28A抗体 [GT1086]

目录号 GTX628139
目录号  GTX628139
Anti-Lin28A antibody [GT1086] used in Western Blot (WB). GTX628139
GTX628139 WB Image

Sample (30 ug of whole cell lysate)
A: Non-transfected HeLa lysates
B: LIN28 transfected HeLa lysates
12% SDS PAGE
GTX628139 diluted at 1:1000

1 / 6
Anti-Lin28A antibody [GT1086] used in Western Blot (WB). GTX628139
GTX628139 WB Image

Lin28A antibody [GT717] detects Lin28A protein by Western blot analysis.
A. 30 μg human ESC whole cell lysate/extract
12 % SDS-PAGE
Lin28A antibody [GT717] (GTX628139) dilution: 1:1000

2 / 6
Anti-Lin28A antibody [GT1086] used in Western Blot (WB). GTX628139
GTX628139 WB Image

Sample (30 ug of whole cell lysate)
A: NT2D1
12% SDS PAGE
GTX628139 diluted at 1:1000

3 / 6
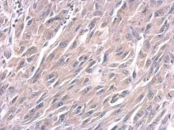
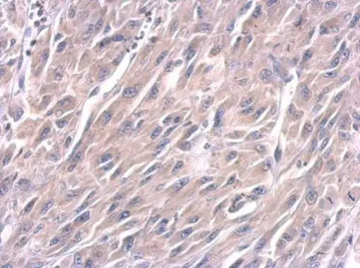
Anti-Lin28A antibody [GT1086] used in IHC (Paraffin sections) (IHC-P). GTX628139
GTX628139 IHC-P Image

Lin28A antibody detects Lin28A protein at cytosol on U87 xenograft by immunohistochemical analysis.
Sample: Paraffin-embedded U87 xenograft.
Lin28A antibody (GTX628139) dilution: 1:100.

Antigen Retrieval: Trilogy™ (EDTA based, pH 8.0) buffer, 15min

4 / 6
Anti-Lin28A antibody [GT1086] used in Flow cytometry (FCM). GTX628139
GTX628139 FCM Image

Lin28A antibody [GT1086] detects Lin28A protein by flow cytomertry analysis. Sample: Human embryonic stem cells Black: Isotype control dilution: 1:50 Green: Lin28A antibody [GT1086] dilution: 1:50

5 / 6
Anti-Lin28A antibody [GT1086] used in Immunocytochemistry/ Immunofluorescence (ICC/IF). GTX628139
GTX628139 ICC/IF Image

LIN28 antibody detects LIN28 protein by immunofluorescent analysis.
Sample: human embryonic stem cell were fixed in 4% paraformaldehyde for 15 min.
Green: LIN28 protein stained by LIN28 antibody (GTX628139) diluted at 1:500.
Blue: Hoechst 33342 staining.
Scale bar = 10 μm.

6 / 6
Anti-Lin28A antibody [GT1086] used in Western Blot (WB). GTX628139
Anti-Lin28A antibody [GT1086] used in Western Blot (WB). GTX628139
Anti-Lin28A antibody [GT1086] used in Western Blot (WB). GTX628139
Anti-Lin28A antibody [GT1086] used in IHC (Paraffin sections) (IHC-P). GTX628139
Anti-Lin28A antibody [GT1086] used in Flow cytometry (FCM). GTX628139
Anti-Lin28A antibody [GT1086] used in Immunocytochemistry/ Immunofluorescence (ICC/IF). GTX628139
  • 宿主
    Mouse
  • 克隆
    Monoclonal
  • 克隆编号
    GT1086
  • 同种型
    IgG2b
  • 实验应用
    WB ICC/IF IHC-P FCM
  • 种属反应
    Human
查看所有 Lin28A 的产品