Lipocalin-2抗体

目录号 GTX01078
目录号  GTX01078
Anti-Lipocalin-2 antibody used in IHC (Paraffin sections) (IHC-P). GTX01078
GTX01078 IHC-P Image

IHC-P analysis of mouse colon tissue using GTX01078 LCN2 antibody.
Antigen retrieval : Heat mediated antigen retrieval step in citrate buffer was performed
Dilution : 1:100

1 / 3
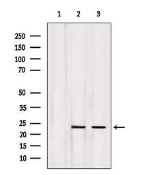
Anti-Lipocalin-2 antibody used in Western Blot (WB). GTX01078
GTX01078 WB Image

WB analysis of various sample lysates using GTX01078 LCN2 antibody.
Lane 1 : HeLa treated with blocking peptide
Lane 2 : HeLa cell lysate
Lane 3 : Sp2/0 cell lysate

2 / 3
Anti-Lipocalin-2 antibody used in Western Blot (WB). GTX01078
GTX01078 WB Image

WB analysis of H₂O₂ treated HepG2 cell lysate using GTX01078 LCN2 antibody. The lane on the left was treated with blocking peptide.

3 / 3
Anti-Lipocalin-2 antibody used in IHC (Paraffin sections) (IHC-P). GTX01078
Anti-Lipocalin-2 antibody used in Western Blot (WB). GTX01078
Anti-Lipocalin-2 antibody used in Western Blot (WB). GTX01078
  • 宿主
    Rabbit
  • 克隆
    Polyclonal
  • 同种型
    IgG
  • 实验应用
    WB IHC-P
  • 种属反应
    Human, Mouse
查看所有 Lipocalin-2 的产品