Lysozyme抗体

目录号 GTX72913
目录号  GTX72913
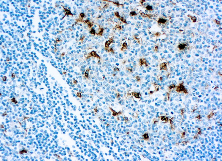
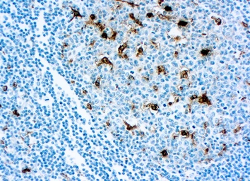
Anti-Lysozyme antibody used in IHC (Paraffin sections) (IHC-P). GTX72913
GTX72913 IHC-P Image

IHC-P analysis of human tonsil tissue using GTX72913 Lysozyme antibody.

1 / 1
Anti-Lysozyme antibody used in IHC (Paraffin sections) (IHC-P). GTX72913
  • 宿主
    Rabbit
  • 克隆
    Polyclonal
  • 同种型
    IgG
  • 实验应用
    IHC-P
  • 种属反应
    Human
查看所有 Lysozyme 的产品