MAF1抗体

目录号 GTX106776
目录号  GTX106776
Anti-MAF1 antibody used in Western Blot (WB). GTX106776
GTX106776 WB Image

Wild-type (WT) and MAF1 knockout (KO) 293T cell extracts (30 μg) were separated by 12% SDS-PAGE, and the membrane was blotted with MAF1 antibody (GTX106776) diluted at 1:1000. The HRP-conjugated anti-rabbit IgG antibody (GTX213110-01) was used to detect the primary antibody, and the signal was developed with Trident ECL plus-Enhanced.

1 / 7
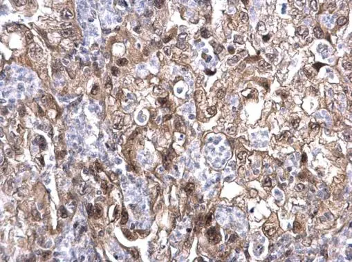
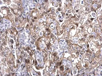
Anti-MAF1 antibody used in IHC (Paraffin sections) (IHC-P). GTX106776
GTX106776 IHC-P Image

MAF1 antibody detects MAF1 protein at nucleus and cytoplasm on human colon carcinoma by immunohistochemical analysis.
Sample: Paraffin-embedded colon carcinoma.
MAF1 antibody (GTX106776) dilution: 1:500.

Antigen Retrieval: Trilogy™ (EDTA based, pH 8.0) buffer, 15min

2 / 7
Anti-MAF1 antibody used in Immunocytochemistry/ Immunofluorescence (ICC/IF). GTX106776
GTX106776 ICC/IF Image

Immunofluorescence analysis of paraformaldehyde-fixed HeLa, using MAF1(GTX106776) antibody at 1:200 dilution.

3 / 7
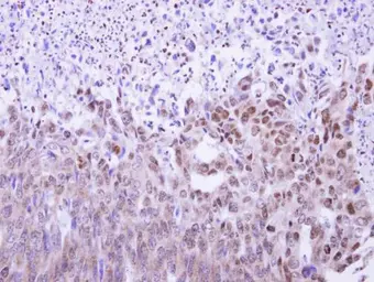
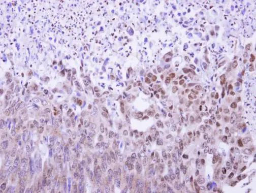
Anti-MAF1 antibody used in IHC (Paraffin sections) (IHC-P). GTX106776
GTX106776 IHC-P Image

MAF1 antibody detects MAF1 protein at nucleus on human endometrial carcinoma by immunohistochemical analysis.
Sample: Paraffin-embedded human endometrial carcinoma.
MAF1 antibody (GTX106776) dilution: 1:500.

Antigen Retrieval: Trilogy™ (EDTA based, pH 8.0) buffer, 15min

4 / 7
Anti-MAF1 antibody used in Western Blot (WB). GTX106776
GTX106776 WB Image

Various whole cell extracts (30 μg) were separated by 12% SDS-PAGE, and the membrane was blotted with MAF1 antibody (GTX106776) diluted at 1:1000. The HRP-conjugated anti-rabbit IgG antibody (GTX213110-01) was used to detect the primary antibody, and the signal was developed with Trident ECL plus-Enhanced.

5 / 7
Anti-MAF1 antibody used in Western Blot (WB). GTX106776
GTX106776 WB Image

The data was published in the journal Elife in 2015.PMID: 26067234

6 / 7
Anti-MAF1 antibody used in Western Blot (WB). GTX106776
GTX106776 WB Image

The data was published in the journal Elife in 2015.PMID: 26067234

7 / 7
Anti-MAF1 antibody used in Western Blot (WB). GTX106776
Anti-MAF1 antibody used in IHC (Paraffin sections) (IHC-P). GTX106776
Anti-MAF1 antibody used in Immunocytochemistry/ Immunofluorescence (ICC/IF). GTX106776
Anti-MAF1 antibody used in IHC (Paraffin sections) (IHC-P). GTX106776
Anti-MAF1 antibody used in Western Blot (WB). GTX106776
Anti-MAF1 antibody used in Western Blot (WB). GTX106776
Anti-MAF1 antibody used in Western Blot (WB). GTX106776
  • 宿主
    Rabbit
  • 克隆
    Polyclonal
  • 同种型
    IgG
  • 实验应用
    WB ICC/IF IHC-P
  • 种属反应
    Human, Mouse
查看所有 MAF1 的产品