MEK2抗体 [8G6]

目录号 GTX84165
目录号  GTX84165
Anti-MEK2 antibody [8G6] used in Western Blot (WB). GTX84165
GTX84165 WB Image

WB analysis of wild type and MEK2 knock out 293T cell lysate(10μg per lane) using GTX84165 MEK2 antibody [8G6].
Dilution : 1:500

1 / 17
Anti-MEK2 antibody [8G6] used in IHC (Paraffin sections) (IHC-P). GTX84165
GTX84165 IHC-P Image

IHC-P analysis of human kidney tissue using GTX84165 MEK2 antibody [8G6].
Antigen retrieval : Heat-induced epitope retrieval by 10mM citrate buffer, pH6.0, 100ºC for 10min.

2 / 17
Anti-MEK2 antibody [8G6] used in IHC (Paraffin sections) (IHC-P). GTX84165
GTX84165 IHC-P Image

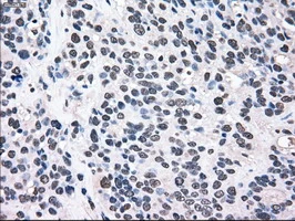
IHC-P analysis of human colon adenocarcinoma tissue using GTX84165 MEK2 antibody [8G6].
Antigen retrieval : Heat-induced epitope retrieval by 10mM citrate buffer, pH6.0, 100ºC for 10min.

3 / 17
Anti-MEK2 antibody [8G6] used in IHC (Paraffin sections) (IHC-P). GTX84165
GTX84165 IHC-P Image

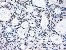
IHC-P analysis of human ovary adenocarcinoma tissue using GTX84165 MEK2 antibody [8G6].
Antigen retrieval : Heat-induced epitope retrieval by 10mM citrate buffer, pH6.0, 100ºC for 10min.

4 / 17
Anti-MEK2 antibody [8G6] used in IHC (Paraffin sections) (IHC-P). GTX84165
GTX84165 IHC-P Image

IHC-P analysis of human breast tissue using GTX84165 MEK2 antibody [8G6].
Antigen retrieval : Heat-induced epitope retrieval by 10mM citrate buffer, pH6.0, 100ºC for 10min.

5 / 17
Anti-MEK2 antibody [8G6] used in IHC (Paraffin sections) (IHC-P). GTX84165
GTX84165 IHC-P Image

IHC-P analysis of human thyroid carcinoma tissue using GTX84165 MEK2 antibody [8G6].
Antigen retrieval : Heat-induced epitope retrieval by 10mM citrate buffer, pH6.0, 100ºC for 10min.

6 / 17
Anti-MEK2 antibody [8G6] used in IHC (Paraffin sections) (IHC-P). GTX84165
GTX84165 IHC-P Image

IHC-P analysis of human lung tissue using GTX84165 MEK2 antibody [8G6].
Antigen retrieval : Heat-induced epitope retrieval by 10mM citrate buffer, pH6.0, 100ºC for 10min.

7 / 17
Anti-MEK2 antibody [8G6] used in Western Blot (WB). GTX84165
GTX84165 WB Image

WB analysis of various cell lines using GTX84165 MEK2 antibody [8G6].
Loading : 35 ug per lane
Dilution : 1:200

8 / 17
Anti-MEK2 antibody [8G6] used in IHC (Paraffin sections) (IHC-P). GTX84165
GTX84165 IHC-P Image

IHC-P analysis of human pancreas carcinoma tissue using GTX84165 MEK2 antibody [8G6].
Antigen retrieval : Heat-induced epitope retrieval by 10mM citrate buffer, pH6.0, 100ºC for 10min.

9 / 17
Anti-MEK2 antibody [8G6] used in IHC (Paraffin sections) (IHC-P). GTX84165
GTX84165 IHC-P Image

IHC-P analysis of human breast adenocarcinoma tissue using GTX84165 MEK2 antibody [8G6].
Antigen retrieval : Heat-induced epitope retrieval by 10mM citrate buffer, pH6.0, 100ºC for 10min.

10 / 17
Anti-MEK2 antibody [8G6] used in IHC (Paraffin sections) (IHC-P). GTX84165
GTX84165 IHC-P Image

IHC-P analysis of human pancreas tissue using GTX84165 MEK2 antibody [8G6].
Antigen retrieval : Heat-induced epitope retrieval by 10mM citrate buffer, pH6.0, 100ºC for 10min.

11 / 17
Anti-MEK2 antibody [8G6] used in IHC (Paraffin sections) (IHC-P). GTX84165
GTX84165 IHC-P Image

IHC-P analysis of human endometrium tissue using GTX84165 MEK2 antibody [8G6].
Antigen retrieval : Heat-induced epitope retrieval by 10mM citrate buffer, pH6.0, 100ºC for 10min.

12 / 17
Anti-MEK2 antibody [8G6] used in Flow cytometry (FCM). GTX84165
GTX84165 FCM Image

FACS analysis of HEK293T cells transfected with either MEK2 plasmid(Red) or empty vector control plasmid(Blue) using GTX84165 MEK2 antibody [8G6].

13 / 17
Anti-MEK2 antibody [8G6] used in IHC (Paraffin sections) (IHC-P). GTX84165
GTX84165 IHC-P Image

IHC-P analysis of human bladder carcinoma tissue using GTX84165 MEK2 antibody [8G6].
Antigen retrieval : Heat-induced epitope retrieval by 10mM citrate buffer, pH6.0, 100ºC for 10min.

14 / 17
Anti-MEK2 antibody [8G6] used in Western Blot (WB). GTX84165
GTX84165 WB Image

WB analysis of HEK293T cells transfected with MEK2 plasmid (Right) or empty vector (Left) for 48 hrs using GTX84165 MEK2 antibody [8G6].
Loading : 5 ug per lane

15 / 17
Anti-MEK2 antibody [8G6] used in IHC (Paraffin sections) (IHC-P). GTX84165
GTX84165 IHC-P Image

IHC-P analysis of human kidney carcinoma tissue using GTX84165 MEK2 antibody [8G6].
Antigen retrieval : Heat-induced epitope retrieval by 10mM citrate buffer, pH6.0, 100ºC for 10min.

16 / 17
Anti-MEK2 antibody [8G6] used in IHC (Paraffin sections) (IHC-P). GTX84165
GTX84165 IHC-P Image

IHC-P analysis of human endometrium adenocarcinoma tissue using GTX84165 MEK2 antibody [8G6].
Antigen retrieval : Heat-induced epitope retrieval by 10mM citrate buffer, pH6.0, 100ºC for 10min.

17 / 17
Anti-MEK2 antibody [8G6] used in Western Blot (WB). GTX84165
Anti-MEK2 antibody [8G6] used in IHC (Paraffin sections) (IHC-P). GTX84165
Anti-MEK2 antibody [8G6] used in IHC (Paraffin sections) (IHC-P). GTX84165
Anti-MEK2 antibody [8G6] used in IHC (Paraffin sections) (IHC-P). GTX84165
Anti-MEK2 antibody [8G6] used in IHC (Paraffin sections) (IHC-P). GTX84165
Anti-MEK2 antibody [8G6] used in IHC (Paraffin sections) (IHC-P). GTX84165
Anti-MEK2 antibody [8G6] used in IHC (Paraffin sections) (IHC-P). GTX84165
Anti-MEK2 antibody [8G6] used in Western Blot (WB). GTX84165
Anti-MEK2 antibody [8G6] used in IHC (Paraffin sections) (IHC-P). GTX84165
Anti-MEK2 antibody [8G6] used in IHC (Paraffin sections) (IHC-P). GTX84165
Anti-MEK2 antibody [8G6] used in IHC (Paraffin sections) (IHC-P). GTX84165
Anti-MEK2 antibody [8G6] used in IHC (Paraffin sections) (IHC-P). GTX84165
Anti-MEK2 antibody [8G6] used in Flow cytometry (FCM). GTX84165
Anti-MEK2 antibody [8G6] used in IHC (Paraffin sections) (IHC-P). GTX84165
Anti-MEK2 antibody [8G6] used in Western Blot (WB). GTX84165
Anti-MEK2 antibody [8G6] used in IHC (Paraffin sections) (IHC-P). GTX84165
Anti-MEK2 antibody [8G6] used in IHC (Paraffin sections) (IHC-P). GTX84165
  • 宿主
    Mouse
  • 克隆
    Monoclonal
  • 克隆编号
    8G6
  • 同种型
    IgG1
  • 实验应用
    WB IHC-P FCM
  • 种属反应
    Human, Mouse, Monkey
查看所有 MEK2 的产品