MFSD2A抗体

目录号 GTX85147
目录号  GTX85147
Anti-MFSD2A antibody used in IHC (Paraffin sections) (IHC-P). GTX85147
GTX85147 IHC-P Image

IHC-P analysis of mouse lung tissue using GTX85147 MFSD2A antibody.
Red : Primary antibody
Blue : DAPI
Dilution : 20 μg/ml

1 / 6
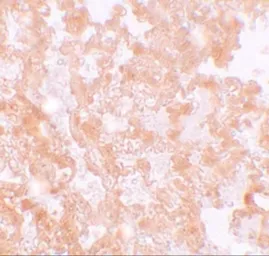
Anti-MFSD2A antibody used in IHC (Paraffin sections) (IHC-P). GTX85147
GTX85147 IHC-P Image

IHC-P analysis of rat lung tissue using GTX85147 MFSD2A antibody.
Working concentration : 20 μg/ml

2 / 6
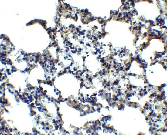
Anti-MFSD2A antibody used in IHC (Paraffin sections) (IHC-P). GTX85147
GTX85147 IHC-P Image

IHC-P analysis of mouse lung tissue using GTX85147 MFSD2A antibody.
Working concentration : 2.5 μg/ml

3 / 6
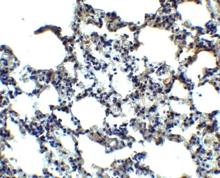
Anti-MFSD2A antibody used in IHC (Paraffin sections) (IHC-P). GTX85147
GTX85147 IHC-P Image

IHC-P analysis of rat lung tissue using GTX85147 MFSD2A antibody.
Working concentration : 5 μg/ml

4 / 6
Anti-MFSD2A antibody used in Western Blot (WB). GTX85147
GTX85147 WB Image

WB analysis of rat lung tissue lysate using GTX85147 MFSD2A antibody.
Working concentration : (A) 1 and (B) 2 μg/ml

5 / 6
Anti-MFSD2A antibody used in IHC (Paraffin sections) (IHC-P). GTX85147
GTX85147 IHC-P Image

IHC-P analysis of human brain tissue using GTX85147 MFSD2A antibody.
Dilution : 5 μg/ml

6 / 6
Anti-MFSD2A antibody used in IHC (Paraffin sections) (IHC-P). GTX85147
Anti-MFSD2A antibody used in IHC (Paraffin sections) (IHC-P). GTX85147
Anti-MFSD2A antibody used in IHC (Paraffin sections) (IHC-P). GTX85147
Anti-MFSD2A antibody used in IHC (Paraffin sections) (IHC-P). GTX85147
Anti-MFSD2A antibody used in Western Blot (WB). GTX85147
Anti-MFSD2A antibody used in IHC (Paraffin sections) (IHC-P). GTX85147
  • 宿主
    Rabbit
  • 克隆
    Polyclonal
  • 同种型
    IgG
  • 实验应用
    WB IHC-P ELISA
  • 种属反应
    Human, Mouse, Rat
查看所有 MFSD2A 的产品