MTUS2抗体

目录号 GTX120919
目录号  GTX120919
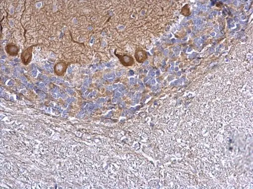
Anti-MTUS2 antibody used in IHC (Paraffin sections) (IHC-P). GTX120919
GTX120919 IHC-P Image

KIAA0774 antibody detects KIAA0774 protein at cytosol on rat hind brain by immunohistochemical analysis.
Sample: Paraffin-embedded rat hind brain.
KIAA0774 antibody (GTX120919) dilution: 1:500.

Antigen Retrieval: Trilogy™ (EDTA based, pH 8.0) buffer, 15min

1 / 2
Anti-MTUS2 antibody used in Western Blot (WB). GTX120919
GTX120919 WB Image

KIAA0774 antibody detects KIAA0774 protein by western blot analysis. Various whole cell extracts (30 μg) were separated by 5% SDS-PAGE, and the membrane was blotted with KIAA0774 antibody (GTX120919) diluted by 1:1000.

2 / 2
Anti-MTUS2 antibody used in IHC (Paraffin sections) (IHC-P). GTX120919
Anti-MTUS2 antibody used in Western Blot (WB). GTX120919
  • 宿主
    Rabbit
  • 克隆
    Polyclonal
  • 同种型
    IgG
  • 实验应用
    WB IHC-P
  • 种属反应
    Human, Rat
查看所有 MTUS2 的产品