Merlin抗体

目录号 GTX35202
目录号  GTX35202
Anti-Merlin antibody used in Immunoprecipitation (IP). GTX35202
GTX35202 IP Image

IP analysis of SKOV3 cell lysate using GTX35202 Merlin antibody.
Antibody amount : 3μg / 200μg lysate
Dilution : 1:1000

1 / 6
Anti-Merlin antibody used in Western Blot (WB). GTX35202
GTX35202 WB Image

WB analysis of normal (control) and knockout (KO) HeLa cell lysate using GTX35202 Merlin antibody.
Dilution : 1:1000
Loading : 25μg per lane

2 / 6
Anti-Merlin antibody used in Immunocytochemistry/ Immunofluorescence (ICC/IF). GTX35202
GTX35202 ICC/IF Image

ICC/IF analysis of C6 cells using GTX35202 Merlin antibody.
Blue : DAPI
Dilution : 1:100

3 / 6
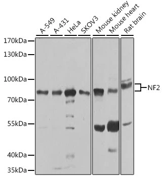
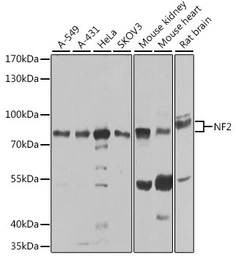
Anti-Merlin antibody used in Western Blot (WB). GTX35202
GTX35202 WB Image

WB analysis of various sample lysates using GTX35202 Merlin antibody.
Dilution : 1:1000
Loading : 25μg per lane

4 / 6
Anti-Merlin antibody used in Immunocytochemistry/ Immunofluorescence (ICC/IF). GTX35202
GTX35202 ICC/IF Image

ICC/IF analysis of L929 cells using GTX35202 Merlin antibody.
Blue : DAPI
Dilution : 1:100

5 / 6
Anti-Merlin antibody used in Immunocytochemistry/ Immunofluorescence (ICC/IF). GTX35202
GTX35202 ICC/IF Image

ICC/IF analysis of U2OS cells using GTX35202 Merlin antibody.
Blue : DAPI
Dilution : 1:100

6 / 6
Anti-Merlin antibody used in Immunoprecipitation (IP). GTX35202
Anti-Merlin antibody used in Western Blot (WB). GTX35202
Anti-Merlin antibody used in Immunocytochemistry/ Immunofluorescence (ICC/IF). GTX35202
Anti-Merlin antibody used in Western Blot (WB). GTX35202
Anti-Merlin antibody used in Immunocytochemistry/ Immunofluorescence (ICC/IF). GTX35202
Anti-Merlin antibody used in Immunocytochemistry/ Immunofluorescence (ICC/IF). GTX35202
  • 宿主
    Rabbit
  • 克隆
    Polyclonal
  • 同种型
    IgG
  • 实验应用
    WB ICC/IF IP
  • 种属反应
    Human, Mouse, Rat
查看所有 Merlin 的产品