Mouse Anti-Chicken IgA antibody [A-1]

目录号 GTX04174
目录号  GTX04174
Mouse Anti-Chicken IgA antibody [A-1]. GTX04174
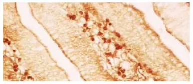
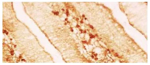
GTX04174 IHC-P Image

IHC-P analysis of chicken jejunum tissue using GTX04174 Mouse Anti-Chicken IgA antibody [A-1] followed by a biotin conjugated secondary antibody and streptavidin (HRP).

1 / 1
Mouse Anti-Chicken IgA antibody [A-1]. GTX04174
  • 宿主
    Mouse
  • 克隆
    Monoclonal
  • 克隆编号
    A-1
  • 同种型
    IgG2b
  • 实验应用
    WB ICC/IF IHC-P IHC-Fr FCM IP ELISA
  • 种属反应
    Chicken
查看所有 Chicken IgA 的产品