NAT10抗体 [N1N2], N-term

目录号 GTX119166
目录号  GTX119166
Anti-NAT10 antibody [N1N2], N-term used in Immunocytochemistry/ Immunofluorescence (ICC/IF). GTX119166
GTX119166 ICC/IF Image

Immunofluorescence analysis of paraformaldehyde-fixed MCF-7, using NAT10(GTX119166) antibody at 1:200 dilution.

1 / 4
Anti-NAT10 antibody [N1N2], N-term used in Western Blot (WB). GTX119166
GTX119166 WB Image

Sample (30 ug of whole cell lysate)
A: MCF-7
7.5% SDS PAGE
GTX119166 diluted at 1:1000

2 / 4
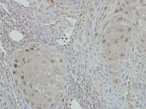
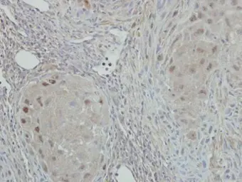
Anti-NAT10 antibody [N1N2], N-term used in IHC (Paraffin sections) (IHC-P). GTX119166
GTX119166 IHC-P Image

Immunohistochemical analysis of paraffin-embedded SCC4 xenograft, using NAT10(GTX119166) antibody at 1:500 dilution.
Antigen Retrieval: Trilogy™ (EDTA based, pH 8.0) buffer, 15min

3 / 4
Anti-NAT10 antibody [N1N2], N-term used in Western Blot (WB). GTX119166
GTX119166 WB Image

The data was published in the journal PLoS One in 2013.PMID: 24260471

4 / 4
Anti-NAT10 antibody [N1N2], N-term used in Immunocytochemistry/ Immunofluorescence (ICC/IF). GTX119166
Anti-NAT10 antibody [N1N2], N-term used in Western Blot (WB). GTX119166
Anti-NAT10 antibody [N1N2], N-term used in IHC (Paraffin sections) (IHC-P). GTX119166
Anti-NAT10 antibody [N1N2], N-term used in Western Blot (WB). GTX119166
  • 宿主
    Rabbit
  • 克隆
    Polyclonal
  • 同种型
    IgG
  • 实验应用
    WB ICC/IF IHC-P
  • 种属反应
    Human
查看所有 NAT10 的产品