NDUFA4抗体

目录号 GTX34093
目录号  GTX34093
Anti-NDUFA4 antibody used in Western Blot (WB). GTX34093
GTX34093 WB Image

WB analysis of HepG2 cell lysate using GTX34093 NDUFA4 antibody.

1 / 2
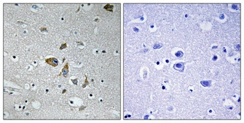
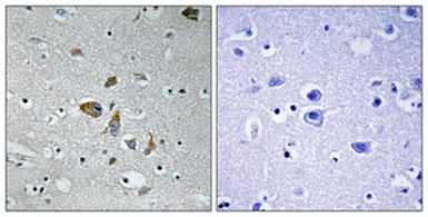
Anti-NDUFA4 antibody used in IHC (Paraffin sections) (IHC-P). GTX34093
GTX34093 IHC-P Image

IHC-P analysis of human brain tissue using GTX34093 NDUFA4 antibody. Negative control (the lower left coner) was secondary antibody only.
Antigen retrieval : Tris-EDTA, pH8.0 under high-pressure and temperature
Dilution : 1:100

2 / 2
Anti-NDUFA4 antibody used in Western Blot (WB). GTX34093
Anti-NDUFA4 antibody used in IHC (Paraffin sections) (IHC-P). GTX34093
  • 宿主
    Rabbit
  • 克隆
    Polyclonal
  • 同种型
    IgG
  • 实验应用
    WB IHC-P
  • 种属反应
    Human
查看所有 NDUFA4 的产品