NFAT2抗体 [7A6]

目录号 GTX22796
目录号  GTX22796
Anti-NFAT2 antibody [7A6] used in IHC (Paraffin sections) (IHC-P). GTX22796
GTX22796 IHC-P Image

IHC-P analysis of human spleen tissue using GTX22796 NFAT2 antibody [7A6].
Left : Primary antibody
Right : Negative control without primary antibody
Antigen retrieval : heat induced antigen retrieval was performed using 10mM sodium citrate (pH6.0) buffer, microwaved for 8-15 minutes
Dilution : 1:100

1 / 6
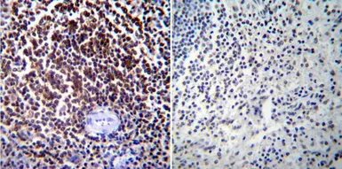
Anti-NFAT2 antibody [7A6] used in IHC (Paraffin sections) (IHC-P). GTX22796
GTX22796 IHC-P Image

IHC-P analysis of human tonsil tissue using GTX22796 NFAT2 antibody [7A6].
Left : Primary antibody
Right : Negative control without primary antibody
Antigen retrieval : heat induced antigen retrieval was performed using 10mM sodium citrate (pH6.0) buffer, microwaved for 8-15 minutes
Dilution : 1:200

2 / 6
Anti-NFAT2 antibody [7A6] used in Immunocytochemistry/ Immunofluorescence (ICC/IF). GTX22796
GTX22796 ICC/IF Image

ICC/IF analysis of MCF-7 cells using GTX22796 NFAT2 antibody [7A6]. Cells were probed without (right) or with(left) an antibody.
Green : Primary antibody
Blue : Nuclei
Red : Actin
Fixation : formaldehyde
Dilution : 1:20 overnight at 4ºC

3 / 6
Anti-NFAT2 antibody [7A6] used in Immunocytochemistry/ Immunofluorescence (ICC/IF). GTX22796
GTX22796 ICC/IF Image

ICC/IF analysis of 293 cells using GTX22796 NFAT2 antibody [7A6]. Cells were probed without (right) or with(left) an antibody.
Green : Primary antibody
Blue : Nuclei
Red : Actin
Fixation : formaldehyde
Dilution : 1:20 overnight at 4ºC

4 / 6
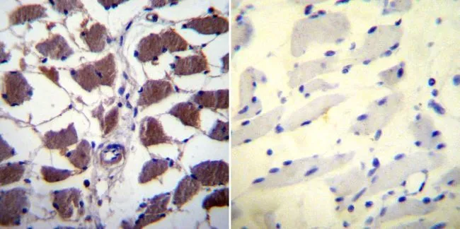
Anti-NFAT2 antibody [7A6] used in IHC (Paraffin sections) (IHC-P). GTX22796
GTX22796 IHC-P Image

IHC-P analysis of human skeletal muscle tissue using GTX22796 NFAT2 antibody [7A6].
Left : Primary antibody
Right : Negative control without primary antibody
Antigen retrieval : heat induced antigen retrieval was performed using 10mM sodium citrate (pH6.0) buffer, microwaved for 8-15 minutes
Dilution : 1:20

5 / 6
Anti-NFAT2 antibody [7A6] used in Immunocytochemistry/ Immunofluorescence (ICC/IF). GTX22796
GTX22796 ICC/IF Image

ICC/IF analysis of HeLa cells using GTX22796 NFAT2 antibody [7A6]. Cells were probed without (right) or with(left) an antibody.
Green : Primary antibody
Blue : Nuclei
Red : Actin
Fixation : formaldehyde
Dilution : 1:20 overnight at 4ºC

6 / 6
Anti-NFAT2 antibody [7A6] used in IHC (Paraffin sections) (IHC-P). GTX22796
Anti-NFAT2 antibody [7A6] used in IHC (Paraffin sections) (IHC-P). GTX22796
Anti-NFAT2 antibody [7A6] used in Immunocytochemistry/ Immunofluorescence (ICC/IF). GTX22796
Anti-NFAT2 antibody [7A6] used in Immunocytochemistry/ Immunofluorescence (ICC/IF). GTX22796
Anti-NFAT2 antibody [7A6] used in IHC (Paraffin sections) (IHC-P). GTX22796
Anti-NFAT2 antibody [7A6] used in Immunocytochemistry/ Immunofluorescence (ICC/IF). GTX22796
  • 宿主
    Mouse
  • 克隆
    Monoclonal
  • 克隆编号
    7A6
  • 同种型
    IgG1
  • 实验应用
    WB ICC/IF IHC-P IP ChIP assay Gel supershift assays
  • 种属反应
    Human, Mouse, Rat, Rabbit, Hamster, Primate
查看所有 NFAT2 的产品