NFAT5抗体

目录号 GTX23446
目录号  GTX23446
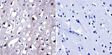
Anti-NFAT5 antibody used in IHC (Paraffin sections) (IHC-P). GTX23446
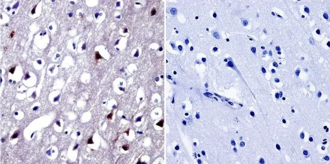
GTX23446 IHC-P Image

IHC-P analysis of human brain tissue using GTX23446 NFAT5 antibody.
Left : Primary antibody
Right : Negative control without primary antibody
Antigen retrieval : heat induced antigen retrieval was performed using 10mM sodium citrate (pH6.0) buffer, microwaved for 8-15 minutes
Dilution : 1:20

1 / 8
Anti-NFAT5 antibody used in Immunoprecipitation (IP). GTX23446
GTX23446 IP Image

IP analysis of U2OS cell lysates using GTX23446 NFAT5 antibody.
IP reaction : 3μg antibody / 500μg lysate

2 / 8
Anti-NFAT5 antibody used in Immunocytochemistry/ Immunofluorescence (ICC/IF). GTX23446
GTX23446 ICC/IF Image

ICC/IF analysis of NIH-3T3 cells using GTX23446 NFAT5 antibody. Cells were probed without (right) or with(left) an antibody.
Green : Primary antibody
Blue : Nuclei
Red : Actin
Fixation : formaldehyde
Dilution : 1:20 overnight at 4ºC

3 / 8
Anti-NFAT5 antibody used in Western Blot (WB). GTX23446
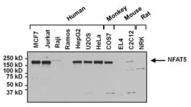
GTX23446 WB Image

WB analysis of 25 ug of various whole cell lysates using GTX23446 NFAT5 antibody.
Dilution : 1:1000

4 / 8
Anti-NFAT5 antibody used in IHC (Paraffin sections) (IHC-P). GTX23446
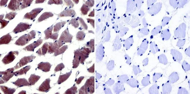
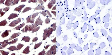
GTX23446 IHC-P Image

IHC-P analysis of human skeletal muscle tissue using GTX23446 NFAT5 antibody.
Left : Primary antibody
Right : Negative control without primary antibody
Antigen retrieval : heat induced antigen retrieval was performed using 10mM sodium citrate (pH6.0) buffer, microwaved for 8-15 minutes
Dilution : 1:20

5 / 8
Anti-NFAT5 antibody used in Immunocytochemistry/ Immunofluorescence (ICC/IF). GTX23446
GTX23446 ICC/IF Image

ICC/IF analysis of HeLa cells using GTX23446 NFAT5 antibody.
Green : Primary antibody
Blue : Nuclei
Fixation : Formalin
Permeabilization : 0.1% Triton X-100 in TBS for 10 minutes
Dilution : 1:100 for at least 1 hour at room temperature

6 / 8
Anti-NFAT5 antibody used in Immunocytochemistry/ Immunofluorescence (ICC/IF). GTX23446
GTX23446 ICC/IF Image

ICC/IF analysis of HeLa cells using GTX23446 NFAT5 antibody. Cells were probed without (right) or with(left) an antibody.
Green : Primary antibody
Blue : Nuclei
Red : Actin
Fixation : formaldehyde
Dilution : 1:20 overnight at 4ºC

7 / 8
Anti-NFAT5 antibody used in Immunocytochemistry/ Immunofluorescence (ICC/IF). GTX23446
GTX23446 ICC/IF Image

ICC/IF analysis of MCF-7 cells using GTX23446 NFAT5 antibody. Cells were probed without (right) or with(left) an antibody.
Green : Primary antibody
Blue : Nuclei
Red : Actin
Fixation : formaldehyde
Dilution : 1:200 overnight at 4ºC

8 / 8
Anti-NFAT5 antibody used in IHC (Paraffin sections) (IHC-P). GTX23446
Anti-NFAT5 antibody used in Immunoprecipitation (IP). GTX23446
Anti-NFAT5 antibody used in Immunocytochemistry/ Immunofluorescence (ICC/IF). GTX23446
Anti-NFAT5 antibody used in Western Blot (WB). GTX23446
Anti-NFAT5 antibody used in IHC (Paraffin sections) (IHC-P). GTX23446
Anti-NFAT5 antibody used in Immunocytochemistry/ Immunofluorescence (ICC/IF). GTX23446
Anti-NFAT5 antibody used in Immunocytochemistry/ Immunofluorescence (ICC/IF). GTX23446
Anti-NFAT5 antibody used in Immunocytochemistry/ Immunofluorescence (ICC/IF). GTX23446
  • 宿主
    Rabbit
  • 克隆
    Polyclonal
  • 同种型
    IgG
  • 实验应用
    WB ICC/IF IHC-P IP ChIP assay Gel supershift assays IHC
  • 种属反应
    Human, Mouse, Rat, Rabbit, Monkey
查看所有 NFAT5 的产品