NFkB p105抗体

目录号 GTX110585
目录号  GTX110585
Anti-NFkB p105 antibody used in Western Blot (WB). GTX110585
GTX110585 WB Image

Wild-type (WT) and NFkB p105 knockout (KO) HeLa cell extracts (30 μg) were separated by 7.5% SDS-PAGE, and the membrane was blotted with NFkB p105 antibody (GTX110585) diluted at 1:1000. The HRP-conjugated anti-rabbit IgG antibody (GTX213110-01) was used to detect the primary antibody.

1 / 9
Anti-NFkB p105 antibody used in ChIP assay (ChIP assay). GTX110585
GTX110585 ChIP assay Image

NFkB p105 antibody immunoprecipitates NFkB p105 protein-DNA in ChIP experiments. ChIP Sample: 293T whole cell lysate/extract A. 5 μg preimmune rabbit IgG B. 5 μg of NFkB p105 antibody (GTX110585) The precipitated DNA was detected by PCR with primer set targeting to PPM1D promoter.

2 / 9
Anti-NFkB p105 antibody used in Western Blot (WB). GTX110585
GTX110585 WB Image

Sample (30 ug of whole cell lysate)
A: A431 (GTX27909)
7.5% SDS PAGE
GTX110585 diluted at 1:1000

3 / 9
Anti-NFkB p105 antibody used in Immunocytochemistry/ Immunofluorescence (ICC/IF). GTX110585
GTX110585 ICC/IF Image

Immunofluorescence analysis of paraformaldehyde-fixed HeLa, using NFkB p105(GTX110585) antibody at 1:200 dilution.

4 / 9
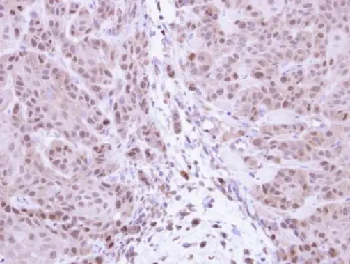
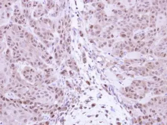
Anti-NFkB p105 antibody used in IHC (Paraffin sections) (IHC-P). GTX110585
GTX110585 IHC-P Image

Immunohistochemical analysis of paraffin-embedded Cal27 xenograft, using NFkB p105 (GTX110585) antibody at 1:100 dilution.
Antigen Retrieval: Trilogy™ (EDTA based, pH 8.0) buffer, 15min

5 / 9
Anti-NFkB p105 antibody used in Western Blot (WB). GTX110585
GTX110585 WB Image

Whole cell extract (30 μg) was separated by 7.5% SDS-PAGE, and the membrane was blotted with NFkB p105 antibody (GTX110585) diluted at 1:1000. The HRP-conjugated anti-rabbit IgG antibody (GTX213110-01) was used to detect the primary antibody.

6 / 9
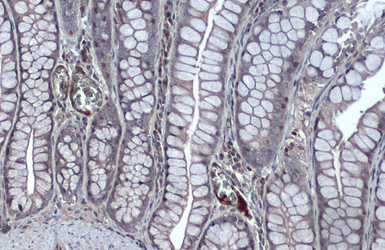
Anti-NFkB p105 antibody used in IHC (Paraffin sections) (IHC-P). GTX110585
GTX110585 IHC-P Image

NFkB p105 antibody detects NFkB p105 protein at cytoplasm by immunohistochemical analysis.
Sample: Paraffin-embedded dog intestine.
NFkB p105 stained by NFkB p105 antibody (GTX110585) diluted at 1:500.
Antigen Retrieval: Citrate buffer, pH 6.0, 15 min

7 / 9
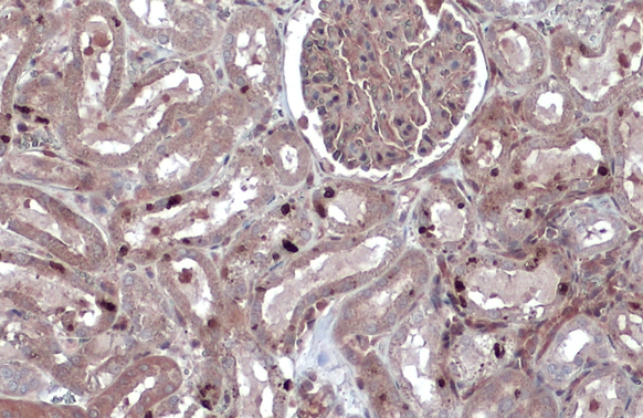
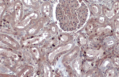
Anti-NFkB p105 antibody used in IHC (Paraffin sections) (IHC-P). GTX110585
GTX110585 IHC-P Image

NFkB p105 antibody detects NFkB p105 protein at cytoplasm by immunohistochemical analysis.
Sample: Paraffin-embedded dog kidney.
NFkB p105 stained by NFkB p105 antibody (GTX110585) diluted at 1:500.
Antigen Retrieval: Citrate buffer, pH 6.0, 15 min

8 / 9
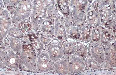
Anti-NFkB p105 antibody used in IHC (Paraffin sections) (IHC-P). GTX110585
GTX110585 IHC-P Image

NFkB p105 antibody detects secreted NFkB p105 protein by immunohistochemical analysis.
Sample: Paraffin-embedded dog colon.
NFkB p105 stained by NFkB p105 antibody (GTX110585) diluted at 1:500.
Antigen Retrieval: Citrate buffer, pH 6.0, 15 min

9 / 9
Anti-NFkB p105 antibody used in Western Blot (WB). GTX110585
Anti-NFkB p105 antibody used in ChIP assay (ChIP assay). GTX110585
Anti-NFkB p105 antibody used in Western Blot (WB). GTX110585
Anti-NFkB p105 antibody used in Immunocytochemistry/ Immunofluorescence (ICC/IF). GTX110585
Anti-NFkB p105 antibody used in IHC (Paraffin sections) (IHC-P). GTX110585
Anti-NFkB p105 antibody used in Western Blot (WB). GTX110585
Anti-NFkB p105 antibody used in IHC (Paraffin sections) (IHC-P). GTX110585
Anti-NFkB p105 antibody used in IHC (Paraffin sections) (IHC-P). GTX110585
Anti-NFkB p105 antibody used in IHC (Paraffin sections) (IHC-P). GTX110585
  • 宿主
    Rabbit
  • 克隆
    Polyclonal
  • 同种型
    IgG
  • 实验应用
    WB ICC/IF IHC-P ChIP assay IHC
  • 种属反应
    Human, Mouse, Dog
查看所有 NFkB p105 的产品