NFkB p65抗体

目录号 GTX102090
目录号  GTX102090
Anti-NFkB p65 antibody used in Western Blot (WB). GTX102090
GTX102090 WB Image

Wild-type (WT) and RELA knockout (KO) HeLa cell extracts (30 μg) were separated by 7.5% SDS-PAGE, and the membrane was blotted with NFkB p65 antibody (GTX102090) diluted at 1:1000. The HRP-conjugated anti-rabbit IgG antibody (GTX213110-01) was used to detect the primary antibody.

1 / 17
Anti-NFkB p65 antibody used in Western Blot (WB). GTX102090
GTX102090 WB Image

Various whole cell extracts (30 μg) were separated by 7.5% SDS-PAGE, and the membrane was blotted with NFkB p65 antibody (GTX102090) diluted at 1:1000. The HRP-conjugated anti-rabbit IgG antibody (GTX213110-01) was used to detect the primary antibody.

2 / 17
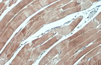
Anti-NFkB p65 antibody used in IHC (Paraffin sections) (IHC-P). GTX102090
GTX102090 IHC-P Image

NFkB p65 antibody detects NFkB p65 protein at cytoplasm by immunohistochemical analysis.
Sample: Paraffin-embedded mouse muscle.
NFkB p65 stained by NFkB p65 antibody (GTX102090) diluted at 1:500.
Antigen Retrieval: Citrate buffer, pH 6.0, 15 min

3 / 17
Anti-NFkB p65 antibody used in IHC (Paraffin sections) (IHC-P). GTX102090
GTX102090 IHC-P Image

NFkB p65 antibody detects NFkB p65 protein at cytoplasm by immunohistochemical analysis.
Sample: Paraffin-embedded mouse heart.
NFkB p65 stained by NFkB p65 antibody (GTX102090) diluted at 1:500.
Antigen Retrieval: Citrate buffer, pH 6.0, 15 min

4 / 17
Anti-NFkB p65 antibody used in Western Blot (WB). GTX102090
GTX102090 WB Image

Non-transfected (–) and transfected (+) 293T whole cell extracts (30 μg) were separated by 7.5% SDS-PAGE, and the membrane was blotted with NFkB p65 antibody (GTX102090) diluted at 1:5000. The HRP-conjugated anti-rabbit IgG antibody (GTX213110-01) was used to detect the primary antibody.

5 / 17
Anti-NFkB p65 antibody used in Western Blot (WB). GTX102090
GTX102090 WB Image

Various whole cell extracts (30 μg) were separated by 7.5% SDS-PAGE, and the membrane was blotted with NFkB p65 antibody (GTX102090) diluted at 1:1000.

6 / 17
Anti-NFkB p65 antibody used in Immunocytochemistry/ Immunofluorescence (ICC/IF). GTX102090
GTX102090 ICC/IF Image

Confocal immunofluorescence analysis (Olympus FV10i) of paraformaldehyde-fixed U2OS, using NFkB p65(GTX102090) antibody (Green) at 1:500 dilution. Alpha-tubulin filaments were labeled with GTX11304 (Red) at 1:2000.

7 / 17
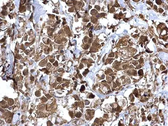
Anti-NFkB p65 antibody used in IHC (Paraffin sections) (IHC-P). GTX102090
GTX102090 IHC-P Image

NFkB p65 antibody detects NFkB p65 protein at cytosol and nucleus on human breast carcinoma by immunohistochemical analysis.
Sample: Paraffin-embedded human breast carcinoma.
NFkB p65 antibody (GTX102090) dilution: 1:500.

Antigen Retrieval: Trilogy™ (EDTA based, pH 8.0) buffer, 15min

8 / 17
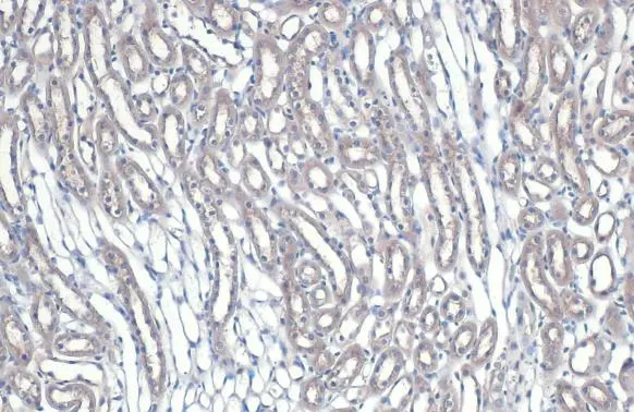
Anti-NFkB p65 antibody used in IHC (Paraffin sections) (IHC-P). GTX102090
GTX102090 IHC-P Image

NFkB p65 antibody detects NFkB p65 protein at cytoplasm and nucleus by immunohistochemical analysis.
Sample: Paraffin-embedded mouse kidney.
NFkB p65 stained by NFkB p65 antibody (GTX102090) diluted at 1:165.
Antigen Retrieval: Citrate buffer, pH 6.0, 15 min

9 / 17
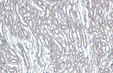
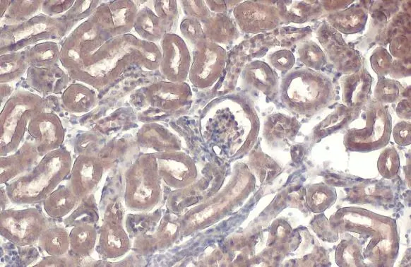
Anti-NFkB p65 antibody used in IHC (Paraffin sections) (IHC-P). GTX102090
GTX102090 IHC-P Image

NFkB p65 antibody detects NFkB p65 protein at cytoplasm and nucleus by immunohistochemical analysis.
Sample: Paraffin-embedded mouse kidney.
NFkB p65 stained by NFkB p65 antibody (GTX102090) diluted at 1:500.
Antigen Retrieval: Citrate buffer, pH 6.0, 15 min

10 / 17
Anti-NFkB p65 antibody used in IHC (Paraffin sections) (IHC-P). GTX102090
GTX102090 IHC-P Image

The data was published in the journal J Neuroinflammation in 2017. PMID: 28865458

11 / 17
Anti-NFkB p65 antibody used in Western Blot (WB). GTX102090
GTX102090 WB Image

The data was published in the journal Int J Mol Sci in 2018. PMID: 30314265

12 / 17
Anti-NFkB p65 antibody used in IHC (Frozen sections) (IHC-Fr). GTX102090
GTX102090 IHC-Fr Image

The data was published in the journal PLoS One in 2018. PMID: 29617457

13 / 17
Anti-NFkB p65 antibody used in Western Blot (WB). GTX102090
GTX102090 WB Image

The data was published in the journal Int J Mol Sci in 2017. PMID: 29084133

14 / 17
Anti-NFkB p65 antibody used in Immunocytochemistry/ Immunofluorescence (ICC/IF). GTX102090
GTX102090 ICC/IF Image

The data was published in the journal Int J Mol Sci in 2017. PMID: 29084133

15 / 17
Anti-NFkB p65 antibody used in Immunocytochemistry/ Immunofluorescence (ICC/IF). GTX102090
GTX102090 ICC/IF Image

The data was published in the journal PLoS One in 2017. PMID: 28301550

16 / 17
Anti-NFkB p65 antibody used in Western Blot (WB). GTX102090
GTX102090 WB Image

The data was published in the 2022 in Front Pharmacol. PMID: 35308231

17 / 17
Anti-NFkB p65 antibody used in Western Blot (WB). GTX102090
Anti-NFkB p65 antibody used in Western Blot (WB). GTX102090
Anti-NFkB p65 antibody used in IHC (Paraffin sections) (IHC-P). GTX102090
Anti-NFkB p65 antibody used in IHC (Paraffin sections) (IHC-P). GTX102090
Anti-NFkB p65 antibody used in Western Blot (WB). GTX102090
Anti-NFkB p65 antibody used in Western Blot (WB). GTX102090
Anti-NFkB p65 antibody used in Immunocytochemistry/ Immunofluorescence (ICC/IF). GTX102090
Anti-NFkB p65 antibody used in IHC (Paraffin sections) (IHC-P). GTX102090
Anti-NFkB p65 antibody used in IHC (Paraffin sections) (IHC-P). GTX102090
Anti-NFkB p65 antibody used in IHC (Paraffin sections) (IHC-P). GTX102090
Anti-NFkB p65 antibody used in IHC (Paraffin sections) (IHC-P). GTX102090
Anti-NFkB p65 antibody used in Western Blot (WB). GTX102090
Anti-NFkB p65 antibody used in IHC (Frozen sections) (IHC-Fr). GTX102090
Anti-NFkB p65 antibody used in Western Blot (WB). GTX102090
Anti-NFkB p65 antibody used in Immunocytochemistry/ Immunofluorescence (ICC/IF). GTX102090
Anti-NFkB p65 antibody used in Immunocytochemistry/ Immunofluorescence (ICC/IF). GTX102090
Anti-NFkB p65 antibody used in Western Blot (WB). GTX102090
  • 宿主
    Rabbit
  • 克隆
    Polyclonal
  • 同种型
    IgG
  • 实验应用
    WB ICC/IF IHC-P IHC-Fr IP ChIP assay
  • 种属反应
    Human, Mouse, Rat
查看所有 NFkB p65 的产品