NHERF2 (isoform a)抗体, Internal

目录号 GTX89452
目录号  GTX89452
Anti-NHERF2 (isoform a) antibody, Internal used in Western Blot (WB). GTX89452
GTX89452 WB Image

WB analysis of human kidney lysate using GTX89452 NHERF2 (isoform a) antibody, Internal.
Dilution : 0.3μg/ml
Loading : 35μg protein in RIPA buffer

1 / 2
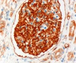
Anti-NHERF2 (isoform a) antibody, Internal used in IHC (Paraffin sections) (IHC-P). GTX89452
GTX89452 IHC-P Image

IHC-P analysis of human kidney using GTX89452 NHERF2 (isoform a) antibody, Internal.
Antigen retrieval : Tris/EDTA buffer pH 9
Dilution : 3μg/ml

2 / 2
Anti-NHERF2 (isoform a) antibody, Internal used in Western Blot (WB). GTX89452
Anti-NHERF2 (isoform a) antibody, Internal used in IHC (Paraffin sections) (IHC-P). GTX89452
  • 宿主
    Goat
  • 克隆
    Polyclonal
  • 同种型
    IgG
  • 实验应用
    WB IHC-P
  • 种属反应
    Human
查看所有 NHERF2 的产品